
2024年5月21日
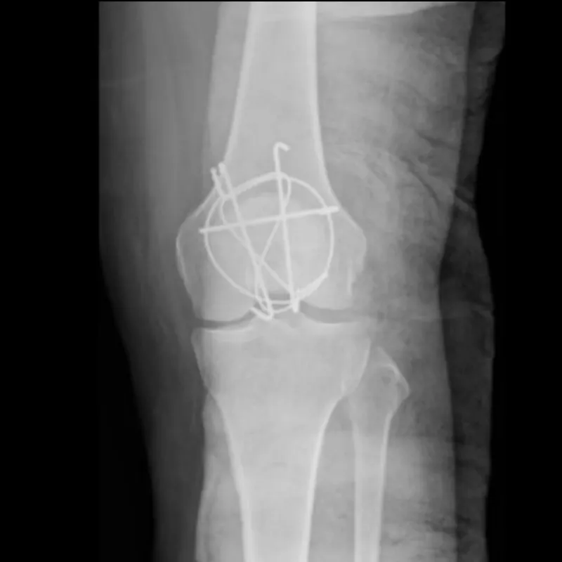
在我的人生中,慘跌了一跤。
這一跤,
跌斷了左膝的臏骨,與21年的職場生涯。
骨折的傷停時間(約2個月)
單純休息的時間不多,多數是待命中的居家辦公;
只有暫時離線,尚未登出。
2024年11月6日
負責的部門即將於年底結束,被告知沒有其他選擇,
人生中的第一次資遣經驗。
即將正式登出。(未完,待續)

2024年5月21日
在我的人生中,慘跌了一跤。
這一跤,
跌斷了左膝的臏骨,與21年的職場生涯。
骨折的傷停時間(約2個月)
單純休息的時間不多,多數是待命中的居家辦公;
只有暫時離線,尚未登出。
2024年11月6日
負責的部門即將於年底結束,被告知沒有其他選擇,
人生中的第一次資遣經驗。
即將正式登出。(未完,待續)