(2025.09更新)
很多人會好奇假牙材質有差嗎?拆假牙是怎麼回事?拆完的舊牙套還可以裝回去使用嗎?為什麼要先修牙齦或做牙冠增長術,才能做假牙?假牙可以解決一切缺陷嗎?『假牙材質』出版專題,我沒鎖,請慢慢看,多看幾遍,或許就能解惑了,假牙不是CP值高不高的問題,是良心事業,才不會覺得我或其他牙醫師收費太高。謝謝。剛好這位臨床案例,算是大工程,我花了很長一段時間才搞定,正好可以說明這些FAQ。
做單顆的假牙(牙套),像蓋透天厝,要考慮的事項相對簡單(但還是複雜),多顆假牙,甚至全口重建或咬合重建,就像都市更新,變成大工程,複雜度像火箭升空、瞬間暴漲,不再是幾顆幾顆計價的問題。
製作精良的好假牙其實不容易掉,會搖會掉的假牙,大多是背後有很大問題要處理的,所以不用急著病急亂投醫,想趕快黏起來。那沒用的,撐不了多久。
還好我有在每步驟拍照的習慣,一方面做記錄,跟病人解釋進度病情用,一方面衛教用,造福其他人。實際上西方醫學就是這麼一步一腳印的進步的,我們都站在前人巨人的肩上,我到現在也還在感謝每位來到我面前的病人,各自帶著不同功課,一起學習與成長。
我會改寫到只有當事人才知道我在寫他/她,隱私請放心,若真的很在意、不舒服,我無意間踩到紅線,請告訴我,我會下架改寫,或者換個人講,臨床案例每天都在重複,不乏其人,不乏素材,請別擔心。
故事開始囉。
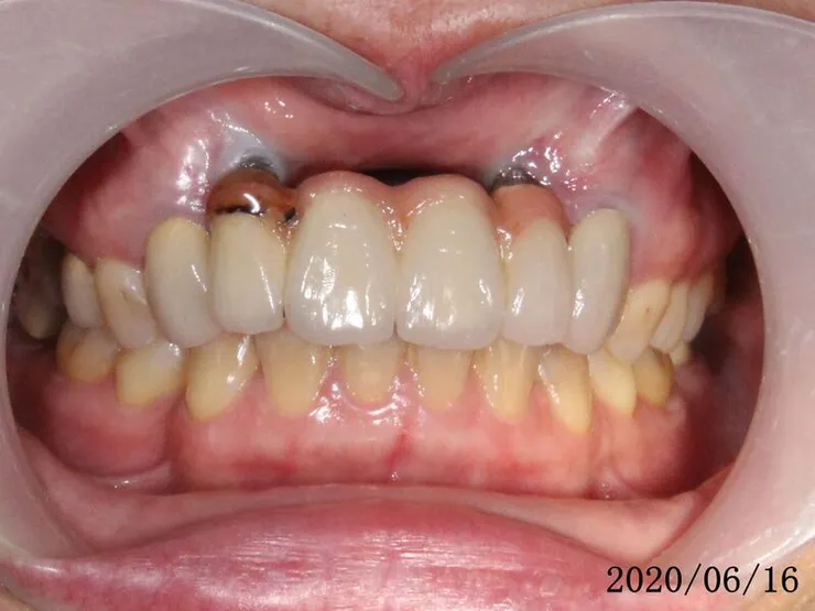
這位病人來的主訴(主要的訴求、想解決的問題),是想想換掉剛做2年的上前牙假牙。因為瓷裂,已補過多次。左上牙齦有時會壓痛,假牙內有時會塞東西,會臭臭的。目前在台灣這種假牙還是主流,金屬瓷牙(PFM),牆國用語是烤瓷牙。

原來連在一起的假牙,以修飾成人牙齦萎縮的問題,下詳內文另外也請注意6顆假牙邊緣的牙齦,全都有程度不一的暗紫紅色慢性發炎,尤其瓷裂處,看下圖拆完假牙的圖,才知造成發炎的真相,難怪病人說有時刷牙會流血
臨床我看,其實還好,病人上嘴唇在一般時候,是會蓋住瓷裂的地方,除非大笑之類的,旁人其實不會覺得那個假牙是有瑕疵的。我的意思是說,沒急迫性。但病人會故意拉開,堅持要處理,即使2年前才花幾萬塊做了這6顆假牙。

初診的病人,我都會照環口X光片檢查,像掃描,一次就可看到多數問題,所以我初診會講解很久很多,不會只針對主訴(主要的問題),請把握
環口x光片檢查,也看不出所以然(蛀牙)。如果X光片很明顯就看得出是蛀牙、牙齒裂掉頂多知道,很明確就看得出造成牙痛的兇手是誰,那不見得是件好事,有點像『可以被檢查出的大多已是癌末』的概念...別擔心,這裡我只是比喻嚴重性,牙科的問題很少會變成癌症的。
左上側門牙(紅圈)有抽過神經(根管治療)過(白白的一條,是根管充填的材料,x光只有黑白兩色,實際是偏橘紅色的,請繼續往下看),而且這根管治療的品質並不太理想(什麼叫較為理想的根管治療品質?剛好她左下就有個對照組),且有根尖陰影(病變)。
右上最後的第三大臼齒(智齒,黃圈),疑似有蛀牙。
有疑慮時,我會建議病人再照張不同角度或種類的X光片確認。
我這裡要說的是,牙套,不管哪種材質,都有很好的X光遮蔽性,會造成判讀上的困擾,把真正的問題遮蔽住(說難聽點就是粉飾太平)。X光只是輔助,再加上臨床上檢查,才能較逼近真正的診斷…西方這叫鑑別診斷Differential Diagnosis(D/D),東方中醫叫望聞問切,線索越多越好,〔我們醫護人員臨床的工作其實跟抽絲剝繭的偵探很像〕。

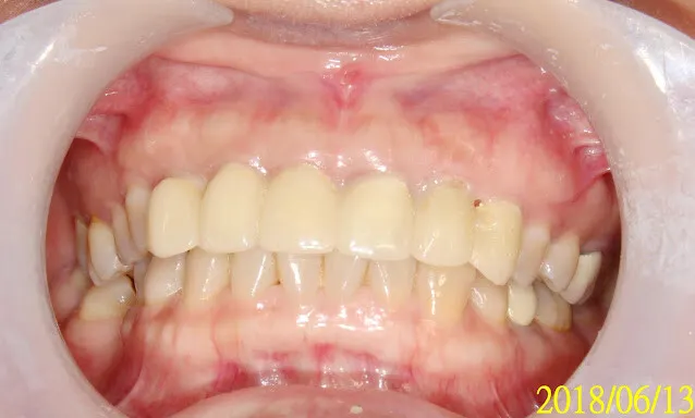
舊假牙拆下來是四分五裂的殘破,不太可能可以重新利用,多只能重新製作新的假牙,治療期間可能會有臨時牙套撐場面(圖在下方2018年有補照)
傳統拆『金屬牙』或『金屬瓷牙PFM』的四分五裂法,那比較不舒服,敲下來時很多病人跟我講,像在拔牙,敲得頭都痛了。時間可能一顆『半小時』左右,這不一定,有時更長,依假牙材質與製作技術而定。
補充,目前診所『沒有』水雷射儀器,所以以下文章所言,只是長長知識喔:
『全瓷冠』因為材質的關係,可用水雷射拆除,如果順利的話,拆下來的全瓷冠沒破掉的話,還可以廢物利用,用臨時黏著劑黏回去,當很擬真、高品質的『臨時牙套』用。不過一台水雷射幾百萬,不是每個診所都買的起的軍備競賽,所以診所可能會收取額外的費用,是合理的。健保給付的(傳統式)才幾百塊元而已。
回來這次的『金屬瓷牙PFM』。

有圖有真相,令人震驚與難過的真相,這就是我常說的一翻兩瞪眼,像在『拆禮物』,沒拆開前永遠不知道真相左上爛牙齦發炎知道原因了,原來是爛到斷頭的牙根,之後還要先修牙齦(下詳)
白白的是原來假牙的殘餘的黏著劑,我都還沒清掉就先照相,第一現場記錄。黑黑的是蛀牙。
粉紅色是根管治療(抽神經)的封填材料,一般是包在齒質內的,看不到的,現在像裸露的鋼筋,暴露在外,因為包裹的齒質已蛀到斷頭。
先從右邊的支台齒(牙套下面的牙齒,被車過的,醫學專與名詞是abuntment tooth,支台齒)說起,按順序,從右到左(圖片的方向是跟您相反的喔,鏡相)。
那顆犬齒(虎牙)都被蛀到整顆牙齒變顏色了(原來的顏色應該像他隔壁的鄰居支台齒),臨床代表意義快要牙髓神經發炎了,火山要爆發了(就是會讓你徹夜難眠的牙痛的比喻)。還好她當時並不會痛,無症狀,我試著移除蛀牙光補蛀牙,看能不能救回這顆牙齒(算是另類的活髓治療)。結果在下方的圖片,有圖為證。要花多久?半年以上,圖片有日期。
很多情況,醫師或病人其實沒耐心,會直接根管治療(抽神經),以為別無選擇。其實是有的,我會跟病人討論,她也願意試試這麼長久的治療(我一開始以為只要不到半年),我才幫她處理。
我有跟她說,她是因禍得福,她不是被病推著走,她是另一個原因(瓷裂、不好看)而來,而且還願意壯士斷腕拆掉才做兩年的假牙(光這點,就完勝很多人,很多人會用沒錢沒時間、目前無症狀等令人黑人問號的藉口理由一拖再拖,拖到火燒屁股,事情更大條,花更多錢才來處理)。
她原來6顆假牙花了大概三萬多(屏東金屬瓷牙的行情價),她以為花錢消災,可以用很久(例如您一定有親友跟您誇耀過的幾十年....您知道老人全口無牙或活動假牙怎麼來的了吧,您願意把自己原來可用一輩子的自然牙,當成只能使用一次的拋棄式的...拔牙...嗎?您怎麼對待自己的人生,我當然沒意見)。
這次她被嚇到了,主動跟我說要做分開的全瓷冠,最後零零總總花了十萬多(當時我還佛心義診,現在已沒這個價了),她也甘願,不會用奇奇怪怪的理由藉口搪塞,唉給我聽,要我降價。
蛀成這樣是我造成的嗎?
她覺得比植牙便宜多了,又是自己的自然牙,原來的醫師是有跟她說過拔牙植牙的可能。
我們接著說下去。
接下來三顆鄰接的支台齒,都是小問題,牙周洗一洗,小蛀牙補一補,支台齒就可再重複利用(重做假牙)。我希望的就是這樣。
任何材質的假牙都不可能是一輩子的事,您看主流醫學怎麼認定成功率就知道了。我們一般人都活得比目前的牙材久(意外提前離席的,不在此限),以假牙來講,這代表您一旦做了假牙,就可能這一輩子有好幾副假牙要接力,各自陪您一段。
目前所有的假牙材質,沒有一種有抗蛀牙性,即使是最高級最貴(一分錢一分貨)的全瓷冠或含黃金量高的金屬牙,都沒有抗蛀牙性,他們的優點是在於邊緣較密貼(這病人感受不到,只有醫師知道,例如此例的邊緣不夠密貼,不好清潔,造成後續多大的麻煩,要花多久來善後,圖片有日期,有圖有真相),容易後續保養清潔,減少後續的蛀牙或牙周牙齦問題,儘量延長假牙的壽命。
這也是我為何一直自毀長城,推薦用音波牙刷潔牙的原因,那是我找到目前最佳的懶人潔牙法。彼此都輕鬆,我不想當救火隊了。
原文不想看可以看分段版,有8篇以上
另一個可說的點是,她還有四顆支台齒可用(雖然其中虎牙那顆已變色),6顆連在一起的假牙會堅固如山,隱藏與延後問題的顯現...所以我才一再跟她說,她是因禍得福啊,提前面對問題,拆解未爆彈。
這情況就好像飛機有好幾個引擎,當其中一個引擎故障還能飛,還有時間找機場迫降維修等等,等到大多數的引擎都發生故障了,大概就無力回天,空難的機率也大了。很多人都拖到整排假牙都在晃動了,甚至會旋轉了(誇張吧),才來牙科看看要怎麼處理。往往都已無法做固定式假牙,而需拔牙做活動假牙了。
還有固定假牙的選擇嗎?有,那叫植牙(一日長城all on 4之類的)。請先找好金主,50萬以上/人。
我們先跳開看一下另一個例子。
先說一下背景知識。拔完牙後,齒槽骨會隨之慢慢萎縮,這是正常的,所以如果是拔門牙美觀區的牙,通常都需先做預防性的骨脊『保存』術,放些膠原蛋白、骨粉之類的(這需自費,還不保證)。這個例子就是該做的都做了,還做了【三次】放骨粉的手術,結果全部流失,後來病人妥協不理了,用植牙假牙的方式模擬。這是照相拉開,才看的到我剛說的流失的部分,平常遠觀,植體露出的部分與流失的骨脊空洞,一般人看不太出來,除非大笑。
她那時不到三十歲,拔牙不當一回事,人不輕狂枉少年啊!

回來我們這個case。

快結束了我才想到補拍她臨時牙套,2017剛拆舊牙套就已經做了

可以看到左邊的側門牙與虎牙,都已蛀到斷頭,牙齦還增生包住了,之前做假牙時絕對不是這樣,會是像隔壁的支台齒。
這是我儘量保存牙齒活性,不隨意抽神經的表面理由之一(深層的要臨床講)....牙髓神經就像警報系統,一旦抽掉了,就像警報系統解除,小偷來了都不知道。這裡的小偷就是蛀牙,鯨吞蠶食您的齒質您也沒感覺。
我幫她用雷射修整牙齦,側門牙與虎牙重新根管治療。


終於治療完成,無異狀後,開始作假牙。根管治療過的牙齒,都可能需做製作柱心以增強做假牙的結構。以前我大概用鑄造金屬的柱心,現已改用跟齒質彈性係數相近的纖維柱心fiber post(臨床意義就是牙齒不容易再斷裂,但這只是盡人事,有些習慣還是需請病人配合,例如不要故意咬太硬的東西。
以下我直接引用張添皓醫師的衛教文章說明,請按下去。
三個問題回答您,根管治療〈抽神經〉後牙齒沒做牙套;就像騎摩托車沒戴安全帽一樣的危險!〈2020/05更新〉
以下就做假牙的流程了,有圖示說明文字,就不用多說了。



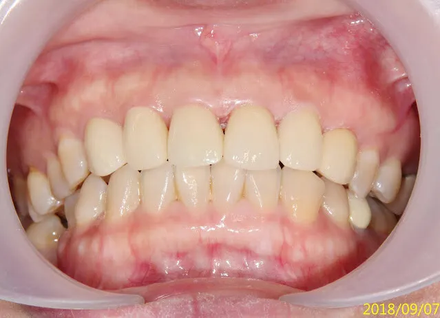
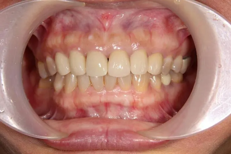
請注意開始是2017,花了一年多,才終於走到裝正式假牙

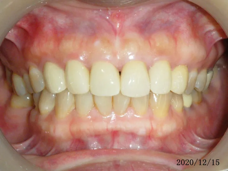
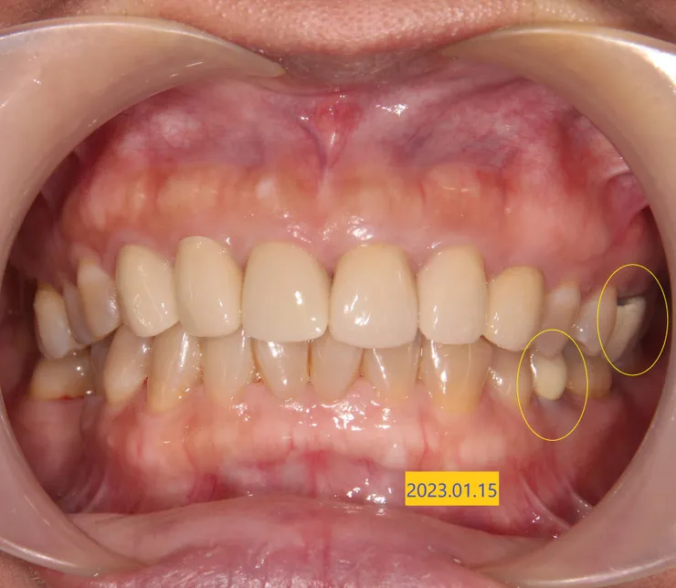
再經過一年,假牙看起來更自然了,當初剛裝假牙時的牙齦,病人自己說大概一個多月就自動長好恢復了
正中門牙的黑三角,無解,那是成人重做門牙或矯正常見的問題,因為已不像年輕人的牙齦那麼有再生活力與適應力,所以很多牙醫師都喜歡做連在一起的假牙,解決黑三角的問題(可參考她最上面的原始假牙),可這是對醫師方便、好,對病人的健康並不好。
我的預設值本來就是單顆獨立分開的假牙(只要條件允許)。


這是2021的,一樣自然好看

她有用音波牙刷潔牙,保持牙周健康,牙齦更飽滿了,假牙看起來更自然(可以跟她其他的金屬瓷牙比較)




















