遺傳的力量...黃邦定醫師

黃邦定-avatar-img
發佈於功能性矯正 個房間
更新 發佈閱讀 1 分鐘

(2025.07更新)

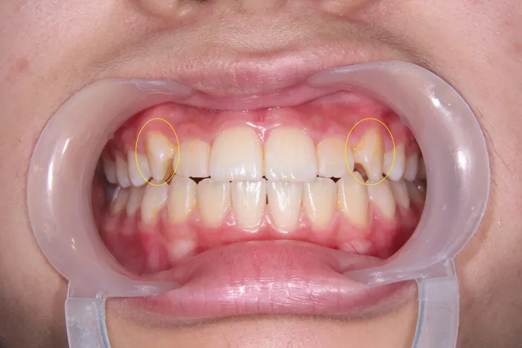
(妹妹)小虎牙,都集中在右邊,上下

(妹妹)小虎牙,都集中在右邊,上下



(姐姐)旋轉的虎牙,姐姐的,是分散到上面兩側,反而有對稱美,不一定需矯正牙齒

(姐姐)旋轉的虎牙,姐姐的,是分散到上面兩側,反而有對稱美,不一定需矯正牙齒


留言
avatar-img
黃邦定的沙龍
50會員
138內容數
一般傳統矯正,或許是為了美觀、或許是為了做假牙等不同的目的,把硬組織(牙齒)排成我們想要的樣子,但這不一定符合人體自然,因為是外力所致,往往需要維持器等被動矯正期。 功能性矯正,著重在軟組織(舌頭、口腔面部肌肉等等)失調功能的改善,齒列排整齊,反而只是水到渠成的副產品,改善並增進影響一生顏質、健康,才是我們更在乎的。
黃邦定的沙龍的其他內容
2025/04/03
我之前聽趙哲暘醫師的演講,知道壓舌根的重要,但可能場地限制,一直不太明白,直到書上圖解,好清楚...
Thumbnail
2025/04/03
我之前聽趙哲暘醫師的演講,知道壓舌根的重要,但可能場地限制,一直不太明白,直到書上圖解,好清楚...
Thumbnail
2025/03/30
以下內容是我問AI『什麼是序列拔牙?』的總結(順便示範如何問AI醫療專業問題,問到飽),我同時問了Gemini、chatGPT、Claude(免費版、付費版都有),令人驚艷,其中Gemini還會主動引導成生圖片、簡報(方便讓人更容易理解) 我會注意到這點,是因為在法國....
Thumbnail
2025/03/30
以下內容是我問AI『什麼是序列拔牙?』的總結(順便示範如何問AI醫療專業問題,問到飽),我同時問了Gemini、chatGPT、Claude(免費版、付費版都有),令人驚艷,其中Gemini還會主動引導成生圖片、簡報(方便讓人更容易理解) 我會注意到這點,是因為在法國....
Thumbnail
2025/03/18
目前此系列有4篇,這一篇專注在講,序列拔牙serial extraction+畸形中央尖central cusp。 序列拔牙的後果:前面好看了,可後牙長歪,有苦(咀嚼不好、不好吃東西、磨不碎)只有自己知道,當年堅持帶小朋友去拔牙的長輩/家長,不會知道。
Thumbnail
2025/03/18
目前此系列有4篇,這一篇專注在講,序列拔牙serial extraction+畸形中央尖central cusp。 序列拔牙的後果:前面好看了,可後牙長歪,有苦(咀嚼不好、不好吃東西、磨不碎)只有自己知道,當年堅持帶小朋友去拔牙的長輩/家長,不會知道。
Thumbnail
看更多
你可能也想看
Thumbnail
2018/09/08 00:35 拍圖
Thumbnail
2018/09/08 00:35 拍圖
Thumbnail
5 月將於臺北表演藝術中心映演的「2026 北藝嚴選」《海妲・蓋柏樂》,由臺灣劇團「晃晃跨幅町」製作,本文將以從舞台符號、聲音與表演調度切入,討論海妲・蓋柏樂在父權社會結構下的困境,並結合榮格心理學與馮.法蘭茲對「阿尼姆斯」與「永恆少年」原型的分析,理解女人何以走向精神性的操控、毀滅與死亡。
Thumbnail
5 月將於臺北表演藝術中心映演的「2026 北藝嚴選」《海妲・蓋柏樂》,由臺灣劇團「晃晃跨幅町」製作,本文將以從舞台符號、聲音與表演調度切入,討論海妲・蓋柏樂在父權社會結構下的困境,並結合榮格心理學與馮.法蘭茲對「阿尼姆斯」與「永恆少年」原型的分析,理解女人何以走向精神性的操控、毀滅與死亡。
Thumbnail
《轉轉生》(Re:INCARNATION)為奈及利亞編舞家庫德斯.奧尼奎庫與 Q 舞團創作的當代舞蹈作品,結合拉各斯街頭節奏、Afrobeat/Afrobeats、以及約魯巴宇宙觀的非線性時間,建構出關於輪迴的「誕生—死亡—重生」儀式結構。本文將從約魯巴哲學概念出發,解析其去殖民的身體政治。
Thumbnail
《轉轉生》(Re:INCARNATION)為奈及利亞編舞家庫德斯.奧尼奎庫與 Q 舞團創作的當代舞蹈作品,結合拉各斯街頭節奏、Afrobeat/Afrobeats、以及約魯巴宇宙觀的非線性時間,建構出關於輪迴的「誕生—死亡—重生」儀式結構。本文將從約魯巴哲學概念出發,解析其去殖民的身體政治。
Thumbnail
2019/06/20 00:27 拍圖
Thumbnail
2019/06/20 00:27 拍圖
Thumbnail
本文分析導演巴里・柯斯基(Barrie Kosky)如何運用極簡的舞臺配置,將布萊希特(Bertolt Brecht)的「疏離效果」轉化為視覺奇觀與黑色幽默,探討《三便士歌劇》在當代劇場中的新詮釋,並藉由舞臺、燈光、服裝、音樂等多方面,分析該作如何在保留批判核心的同時,觸及觀眾的觀看位置與人性幽微。
Thumbnail
本文分析導演巴里・柯斯基(Barrie Kosky)如何運用極簡的舞臺配置,將布萊希特(Bertolt Brecht)的「疏離效果」轉化為視覺奇觀與黑色幽默,探討《三便士歌劇》在當代劇場中的新詮釋,並藉由舞臺、燈光、服裝、音樂等多方面,分析該作如何在保留批判核心的同時,觸及觀眾的觀看位置與人性幽微。
Thumbnail
Thumbnail
Thumbnail
這是一場修復文化與重建精神的儀式,觀眾不需要完全看懂《遊林驚夢:巧遇Hagay》,但你能感受心與土地團聚的渴望,也不急著在此處釐清或定義什麼,但你的在場感受,就是一條線索,關於如何找著自己的路徑、自己的聲音。
Thumbnail
這是一場修復文化與重建精神的儀式,觀眾不需要完全看懂《遊林驚夢:巧遇Hagay》,但你能感受心與土地團聚的渴望,也不急著在此處釐清或定義什麼,但你的在場感受,就是一條線索,關於如何找著自己的路徑、自己的聲音。
追蹤感興趣的內容從 Google News 追蹤更多 vocus 的最新精選內容追蹤 Google News