隱適美矯正案例分享,這才知道矯正牙齒對比後差多少,主要當事人就是本人姐姐啦!終於願意去進行牙齒矯正了!除了進行隱適美invisalign矯正之外,還進行了除汞,且醫師非常專業,相當用心及仔細,讓姊姊也忍不住想分享留個紀錄。
為了讓想隱形矯正牙齒的人先有個事前探索,以下是以姐姐心路歷程的口吻,來描述整個隱適美矯正及除汞的過程。
牙齒矯正:為了顧全我上排的植牙,進行了隱適美全口矯正…
相信是很多人對隱適美都很瞭解
但我的狀況有點特別~
我上排牙齒其實是-植牙-所以算整齊(以前不小心撞斷兩顆)
但我的下排真的不是普通亂
但又礙於上排還行,矯正也要花點銀子
所以雖然覺得亂也沒有行動
但~ 事情就是如此,越想就越會有”狀況”
變成非處理不可
某天睡醒我的上排植牙居然莫名碎了很小一塊
天啊~ 我美美貴貴的植牙….
詢問醫師為何會莫名這樣
經過仔細觀察我的咬合
發現原因居然是因為我下排太亂
一直再摩擦我的上排植牙,長久下來就嗑出了一個小洞
為了我的植牙非得行動了
詢問了幾間感覺隱適美比較厲害的診所
大約開價都是22~25左右倒也沒有說隱適美有分等級
但有一間醫師跟我說我可以不用用到隱適美全面型
用隱適美中等型Moderate 就可以?!還有分喔??
且還便宜了幾個W
雖然說是重點放在下排
還是要全口矯正因為咬合的關係
如果上下沒有吻合一來咬東西會有問題
也可能會再跑位
當然我也問了矯正會不會弄壞我上排的植牙
醫師說不會他會幫我規畫好矯正計畫
(一定要規劃好阿 植牙也很貴耶 萬事拜託了) 且既然要全口了
我就跟醫師說我虎牙的角度內凹也幫我拉出來是可以的嗎
醫師說當然可以 哈哈哈 很客製吼~~
這是我原本的下排亂牙,都快疊在一起了
且這是醫師幫我先整理乾淨牙齒的樣子
因為很難刷乾淨,我原本的牙縫都髒髒的刷不乾淨
醫師當時說我的矯正方案可以有兩次機會(階段)
第一次口掃完戴第一階段26副
然後26副戴完再討論看看有沒有哪裡希望再調整
重新口掃後再規劃一次第2階段矯正計畫戴最後14副
其實我第一階段完畢的整齊度就已經覺得很滿足了
且咬合的時候已經不會碰到我的植牙
這是大約第一階段結束 (還有豆豆時)
此時才半年而以耶!我已經覺得我的矯正超快的
因為之前聽人家說都要甚麼2年的
當然醫師有先跟我說不用那麼久
但半年而已也太神奇
此時我已經很高興了,沒想過第2階段會變怎樣
就讓醫師安排囉~~
結果原來還可以更超越
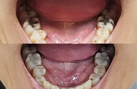
這是我戴完第2階段結束時變超整齊啦~~
嘿嘿 不免俗對比一下
且有個小細節,矯正過程中
我後面的老舊銀粉,醫師說他看得很煩問我要不要處理
他給我優惠價 哈哈哈~~
當然好啊 要就一次弄漂亮啊~~~
(遇到類似處女座個性的醫師我覺得運氣很好
因為他可能更希望把我的牙齒弄得好好的
且每次都會幫我把牙齒稍微整理乾淨
但其實我不知道他是不是處女座)
再分享一下去除銀粉的奇特旅程(其實那叫”除汞”)
我以為就是挖一挖補一補
結果當天搞得很像三個太空人進太空艙
全身穿隔離衣+頭套+護目鏡 (可惜我沒拍起來 太好笑)
然後要到一間專門除汞的房間 好像還要空氣濾淨那種
醫師說除汞(銀粉)的過程中 會產生汞的氣體
要做好防護才不會汞中毒 ??
所以我的嘴巴裡面一直有毒嗎?? 哈哈哈
總之我沒有後面兩個笑起來很顯眼的黑黑銀粉了
這次整體的經驗,無論是矯正很快且保護了我的植牙
加上除汞,我只能用一個”爽”字形容~~
以上~ 報告完畢~
【明日美牙醫診所】診所資料
地址:台北市大安區忠孝東路四段210號5樓
電話:(02) 2731-8833
官網:https://www.tmbeauty-dental.com/





























