FB 文章連結:#20260224

這篇的兩個主角分別是
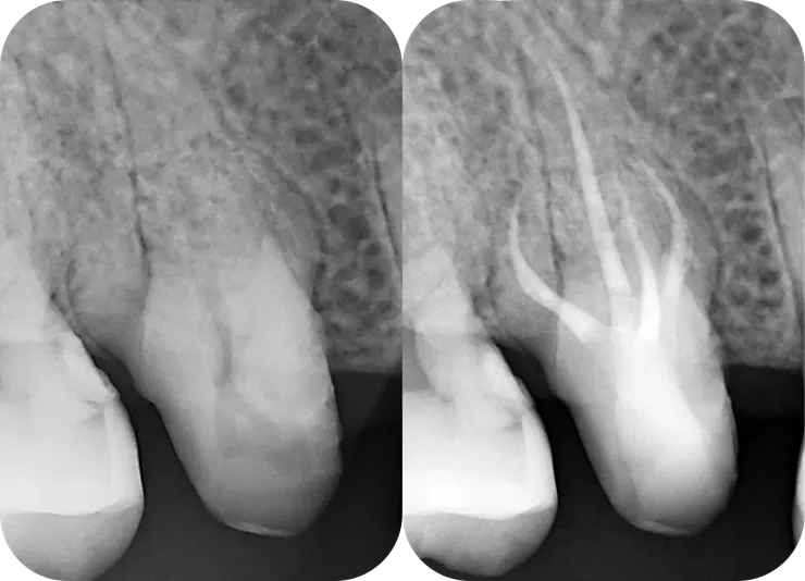
左邊的 64 歲 16 (#20240611)
以及
右邊的 43 歲 26 (#20241224)

面對這種一看就知道絕非善類的 case, 最關鍵的步驟就是,在開始之前先仔細地把目標物清楚地描繪一番:
先如同橘色虛線般,將 root 的外型描繪出來 (相對單純的 palatal root 先忽略)。
然後再依據 root 的外型,將依稀可見的 canals 如同紅色線條般描繪出來。
腦中有了清晰的圖像後,才能以終為始的,一步步地完成後續的修形與封填。
(當然前提是必須有清晰的 initial PA, 而如果能藉由 CBCT 得到立體的架構那更好!)
以下就依據初始貼文的時間先後來介紹,左邊那顆先......

這是顆經過 prepare, fresh 的牙。
找到 chamber 後,先修形出理想的 outline form,讓 wall 在保留足夠厚度的同時,chamber 內也不要留下太多 undercut.
完成初步的 access cavity 後,可以看到 mesial wall 有非常突出的 dentin shelf 蓋住底下的 chamber floor.

車掉那片 dentin shelf 後,露出了 chamber floor.
此時隱約可以看到 P, DB, MB orifices.

繼續把 mesial wall 的 undercut 修掉, MB2 orifice 就顯露出來了。

接下來就是先把最"簡單"的 MB canal 搞定。
如圖,MB shaping 開後,可以發現 MB2 開口處還有一些造成入口處急彎的齒質......

換個角度由 distal 往前看,可以看得更清楚......
此時若貿然地將 file 督進去,很容易會在 canal 過彎處戳出 ledge, 或是因為入口處的急彎而根本督不進去......

因此要先把蓋住 MBII orifice 的那區 dentin 修掉。
圖中可以清楚地看到 MB2 orifice 上方,我用 round bur 修出來的痕跡。

DB orifice 上方也是類似的情況,有一區蓋過來的 dentin. 但因為 DB 洞明顯的比 MB2 洞大多了,所以我沒多加處理。
就這樣試著把 file 督進去......

然後就卡住了......DB orifice 上方也是類似的情況,有一區蓋過來的 dentin. 但因為 DB 洞明顯的比 MB2 洞大多了,所以我沒多加處理。
此時雖然可以選擇使用各種不同品種,不同號數的 file pre-curve 去試著過彎,接著使用最軟最軟的 rotary file 去 shaping. 就這樣試著把 file 督進去......
但這麼做的風險有三:
1. 試了半天就是彎不過去,ledge 越戳越大甚至 transportation.
2. 小號 hand file 彎過去了,但 rotatry file 就是彎不過去或甚至就斷了!
3. 很幸運地 shaping 完了,但過彎處的 danger zone 卻變得很薄或甚至破了!
怎麼做都是噩夢一場......

此時除了 pericervical dentin v.s. danger zone 的取捨外,還有第三個可以拿來犧牲的齒質:DB orifice 上方也是類似的情況,有一區蓋過來的 dentin. 但因為 DB 洞明顯的比 MB2 洞大多了,所以我沒多加處理。
圖中可以發現,由於 MB2 canal 上段往 mesial 彎的角度極大,因此進去的 file 以很大的角度往 distal 倒而卡在 dsital wall 上失去了自由度。就這樣試著把 file 督進去......
失去自由的 file 就失去了操控也失去了手感......
失去操控與手感的 file 就只能橫衝直撞找不到真正的路......
為了取回 file 的自由我做了三件事:
1. 把 clamp 夾在後面一顆牙以爭取更大的操作空間。
2. 把卡住 file 的那區 dstal wall (這就是第三個可以犧牲的齒質) 修掉。

3. 用 G.G. drill (而非 NiTi orifice opener) 選擇性地把 orifice 往 mesial 擴大。DB orifice 上方也是類似的情況,有一區蓋過來的 dentin. 但因為 DB 洞明顯的比 MB2 洞大多了,所以我沒多加處理。
圖中箭頭所指的,就是我為了保護脆弱的 danger zone 而適度犧牲掉的部分 pericervical dentine 以及 contralateral wall.就這樣試著把 file 督進去......

DB 因為 canal 沒那麼鈣,只需要用 G.G. drill 把 orifice 往 distal 擴大就夠了。DB orifice 上方也是類似的情況,有一區蓋過來的 dentin. 但因為 DB 洞明顯的比 MB2 洞大多了,所以我沒多加處理。就這樣試著把 file 督進去......

得到自由的 file 因此得以找到正確的路。DB orifice 上方也是類似的情況,有一區蓋過來的 dentin. 但因為 DB 洞明顯的比 MB2 洞大多了,所以我沒多加處理。就這樣試著把 file 督進去......
左圖:
確認 file 找到正確的路已順利過彎。
可以看到 file 中上段是 "自由"的。
右圖:
用 hand file 建立 glide path 後,後面的事就是小事了......

從 initial v.s. RCF 可以看得出來,因為 DB & MB2 canal 過彎不易,犧牲了不少 pericervical dentin. DB orifice 上方也是類似的情況,有一區蓋過來的 dentin. 但因為 DB 洞明顯的比 MB2 洞大多了,所以我沒多加處理。就這樣試著把 file 督進去......
但還好因為 heat treated NiTi file (PTG F1) 過彎能力佳,以及過程中且戰且走地以正確的順序使用正確的工具,而因此不需要把第一個彎以上全部拉直,得以保留足夠的 pericervical dentin.
這 case 因為發生了一些小插曲,搞了七個 appointment 才 RCF.

接下來是 #20241224 43 歲的 26.DB orifice 上方也是類似的情況,有一區蓋過來的 dentin. 但因為 DB 洞明顯的比 MB2 洞大多了,所以我沒多加處理。就這樣試著把 file 督進去......

一開始看到的底不是底,應該是 roof or pulp stones.DB orifice 上方也是類似的情況,有一區蓋過來的 dentin. 但因為 DB 洞明顯的比 MB2 洞大多了,所以我沒多加處理。就這樣試著把 file 督進去......

清掉後在很深的地方看到真正的 floor.DB orifice 上方也是類似的情況,有一區蓋過來的 dentin. 但因為 DB 洞明顯的比 MB2 洞大多了,所以我沒多加處理。就這樣試著把 file 督進去......

雖然這顆 chamber 很深,使得找 canal 以及 shaping 都相對困難,但跟多重彎折的 DB canal 比起來,MB & MB2 canal 都只是很溫和的 gental curve, 先把它們搞定再來專心對付 DB......DB orifice 上方也是類似的情況,有一區蓋過來的 dentin. 但因為 DB 洞明顯的比 MB2 洞大多了,所以我沒多加處理。就這樣試著把 file 督進去......

有了前一個 case 的經驗,六個月後的這個 case 同樣比照辦理,先把蓋在 DB orifice 上方的 dentin 用 bur 修掉......DB orifice 上方也是類似的情況,有一區蓋過來的 dentin. 但因為 DB 洞明顯的比 MB2 洞大多了,所以我沒多加處理。就這樣試著把 file 督進去......

雖然修掉後露出了小小的 orifice, 但還不夠,此時 file 貿然進去會失去自由......DB orifice 上方也是類似的情況,有一區蓋過來的 dentin. 但因為 DB 洞明顯的比 MB2 洞大多了,所以我沒多加處理。就這樣試著把 file 督進去......

先進一步用 G.G. drill 把 orifice 往 DB 擴大。DB orifice 上方也是類似的情況,有一區蓋過來的 dentin. 但因為 DB 洞明顯的比 MB2 洞大多了,所以我沒多加處理。就這樣試著把 file 督進去......
神奇的是,與 DB canal 相對的 mesial wall, 上個醫師已經貼心地幫我修出一個凹了......?

然後就在第三個 appointment 順利 RCF.DB orifice 上方也是類似的情況,有一區蓋過來的 dentin. 但因為 DB 洞明顯的比 MB2 洞大多了,所以我沒多加處理。就這樣試著把 file 督進去......
可以看到為了完成這邪惡的 DB canal, pericervical dentin & danger zone 的齒質都各犧牲了一些,而通常 pericervical dentin 的犧牲會多一些......

總結這兩顆牙較具挑戰的四個 canals, 單看個別的 canal 彎曲情形,我給它們的難度排名如圖中的綠色編號。DB orifice 上方也是類似的情況,有一區蓋過來的 dentin. 但因為 DB 洞明顯的比 MB2 洞大多了,所以我沒多加處理。就這樣試著把 file 督進去......
因為我覺得,就算 NiTi rotary 再怎麼軟,因為越上端處 file 越粗 (任何 taper 大於 .04 的系統),過彎能力就會越差,風險越高!
因此若是 canal 的第一個彎越大,以及過彎之後底下的 canal 越長,就越困難。
然而為何看起來比較困難的
第一名 26 DB (24mm, PTG F1)
做起來卻感覺比
第二名的 16 MB2 (16.5mm, PTG F1)
輕鬆許多呢?
我覺得可能的原因有三:
1. 16 MB2 比較鈣 (畢竟年紀比較大)
2. 16 MB2 實際上比較彎 (在 PA 看不到的 B-P curve)
3. 經過短短六個月,我快速進步了!哈哈哈!
(開玩笑的,不要打我......)












