(2024.03更新)
上顎篇

病人後來終於拔掉#28,可內可直接看到我之前在X光片看到的蛀牙,照給他看,他才相信
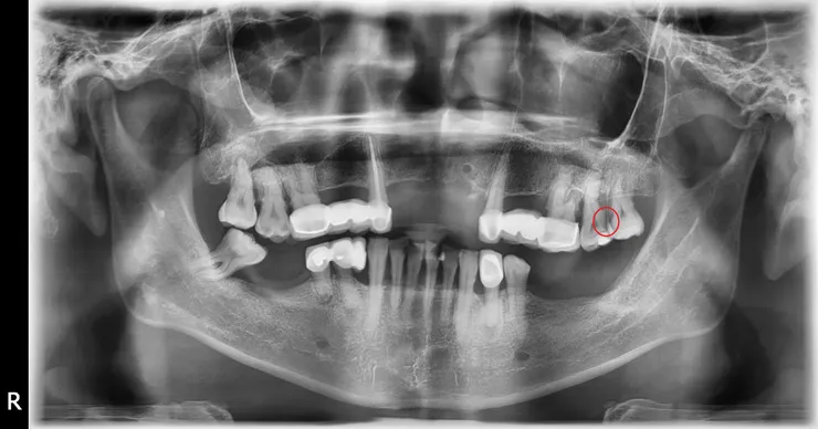
下顎篇


#38智齒拔完後,惡夢還沒結束,還要面對#37的根管治療(抽神經)

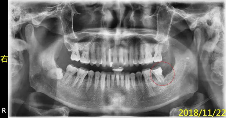
一年後,病人回來說,補的掉了
2018時我就已跟病人說的很清楚了,這裡就不贅言,直接引用張添皓醫師的文章說明『根管治療後,不做牙套,是多麼的危險,會導致前功盡棄(保留牙齒廢物利用,不要拔牙)』,何況他的情況,還不能直接做假牙,要先做『牙冠增長術』......所以,為了幫智齒擦屁股、收拾爛攤子,您看事後要付出多大的代價....
他後來當然就自動消失啦,去找願意幫他便宜處理的所謂良心牙醫啦,只不過,撐不到一年(才幾個月...),他就又回來找我啦(所以我才有這珍貴的歷史紀錄)....
下面這篇文章裡有平行時空裡的另一個下顎智齒造成蛀牙的臨床故事喔!
Bonus,再討論一下網路好評一堆的所謂的良心牙醫。我的結論是,跟看政論新聞一樣,聽聽就好,不必太認真,媒體的素質,你知我知,而網路好評負評,那個年齡層最多?生活經驗跟您的一樣嗎?適合嗎?參考就好。
2023年初的新聞,為何有如此價差?我在猜,就是前一位醫師,應該用考慮較周延的方案(包含SSC+舒眠麻醉),至於老醫師,可能是求快速解決的補起來以求小孩不吵而已....我很好奇此事的後續發展,補的應該撐不了多久(小朋友會需要到舒眠麻醉,你就可以猜測他的配合度,而牙科補牙的材料是很怕口水的,口水是天然的隔絕劑),但台灣嗜血而健忘的媒體,應該不會報導此事。幾天或幾個星期就掉了吧,我猜,那是很合理而正常常見的,到時家長往往會換另一家,輪迴再開始。
醫療是藝術,每一種治療計畫選項,都有其相對應的代價,有的是要花大錢,有的是只能撐一段時間。這很公平吧!
文中的老牙醫,果然是有江湖歷練的老狐狸,知道有些事能做,卻不能說破,大家以和為貴,只好露出姨母笑,裝傻說不知道啊不知道.....























