(2025.08更新)
為何根管治療後的牙齒容易裂?
因為在牙髓腔內,神經跟血管是交纏在一起的,當因牙髓神經因發炎疼痛而移除時...以前叫殺神經、抽神經,現在用『根管治療』這名詞...負責供給牙齒養分的血管,是一併被移除的。如此一來,牙齒就像枯木槁灰,失去血色與活性、彈力,就容易因咬力而被咬裂...

牙髓神經與血管是交纏在一起,還有他們都是由根尖孔進入牙齒的(絲線吊金鐘)
張添皓醫師這篇寫得好,解釋的很清楚,為什麼傳統根管治療完,需要做牙套保護?所以直接引用。
正常的自然牙會有點彈性(很難想像吧,牙齒是硬的耶),再加上牙周韌帶的天然反射機制,就足以讓我們在自然狀態牙下,沒那麼容易把牙齒咬裂。
而根管治療完所做的牙套crown,就像安全帽,只是保護牙冠(頭部)而已,咬到硬物,看不到的牙根部分,還是有可能裂掉的。所以還是應該儘量避免『根管治療』....偏偏這還是主流治療方式。
在前牙(虎牙到虎牙)美觀區,失去血色,會有牙齒慢慢變色、不好看的問題,病人還比較願意做假牙,保護起來,順便遮醜。多久?請參考此文。
後牙(虎牙之後),是我們主要用來咀嚼的咬合重點區,咬力之所在,卻很多人因各種理由(看不到、沒錢啦、沒時間啦,等等各種理由都聽過),以為可以不用做假牙,補起來就好。等到牙齒裂掉了,才知殆志大條了,省小錢卻花大錢。
我通常跟病人說,根管治療完就做牙套,保護性比較完整,隨時間過去,拖越久,對您越不利,誰都不知道會不會已裂在裡面,只是你沒感覺、不知道。如以下這例子。
因為抽完神經的牙齒,有兩個隱憂,第一是現在主流醫學在講的,抽過神經的牙齒易裂(即使做了很好材質的牙套,帶牙套的頭部牙冠是沒裂,但裂的是齒槽骨裡的牙根....後來拔掉裂的牙齒,植牙)。
所以現在有機會救的牙齒,我會提供病人另一個活髓治療的選擇。
第二是整合醫學在講的,對健康的影響...這部分台灣還沒在講,但歐美已有慎重在考慮,還有至少有這本中文版,可以參考一下,網路看看書籍介紹就好,我只是要說明我所講的並非空卻來風。
我希望有機會儘量幫您不要根管治療,而保留牙齒。這在以前辦不到,但隨著牙材的進步,已經可以一試。這叫活髓治療,自費NT.15000(臨床諮詢後再決定),因為成本非常高,一如植牙。會先《術前》諮詢衛教,先收5000元,這筆費用《包含》在日後的活髓治療費用裡。
如您不願自費,我也可用健保給付的牙材幫您施做,只是效果差很多(指活髓治療的成功率,失敗就是根管治療抽神經啊)。有些人就是不認為不抽神經是件重要的事(在我看來,沒錢等經濟因素都是藉口,而不是理由,如果知道重要性,您就會想辦法),我也不勉強。
大概觀察3個月後左右,我檢查一下,若沒問題,建議就可直接做牙套保護起來(這時牙套的功能,不是防裂,而是牙套所能提供的保護較完整,因為在口外製作較精密,補牙是在口內操作)。材質我是建議全瓷冠等級的,清潔效果更好。全瓷冠也是有分很多等級的。
每個活髓治療VPT case都需要做牙套嗎?
臨床挖開再看再說,我文章是寫個大概,讓大多數人心裡有個底而已,每個人的情況不同,臨床要微調才是客製化,這只是建議。我多年臨床經驗告訴我,不用幫病人省錢做決定,充分告知,盡醫者的義務就好,病人自己會做出最適合他/她自己的選擇。為自己負責。
活髓治療完,若沒好的冠部保護coronal sealing,還是會像沙灘上寫字,前功盡棄啊,所以我才一再說明,我不是為了要賺您的錢,才請您做假牙的。
很多病人,當初來就是蛀牙在痛的啊,願意花錢把發炎的神經,救回來到沒發炎的狀態,最後一里路沒做(就是做假牙),還是會前功盡棄,再次蛀牙而又牙髓神經發炎的。
不要以為花錢就沒事了,最好一開始就沒蛀牙,一旦進入到醫療,請不要以為,簡單就能善了。
通常會蛀到那麼仇大苦深的蛀牙,需要搞到活髓治療VPT的,往往就是那種不易清潔到的死角所造成的(所以我才一直推音波牙刷,相對比較能無孔不入、清乾淨,而不是那種轉轉轉的電動牙刷,那只是讓您自我感覺良好),蛀到牙齦下是常見的,用傳統口內補蛀牙的材料(不管是自費或健保有給付的),因為口內始終有水氣,口水、血水、組織液等,那些都是天然的隔絕劑(別忘了口腔一直是潮濕的環境喔!),補什麼掉什麼,非常容易有微滲漏(那是什麼意思?想像房屋裝潢沒收邊收好。
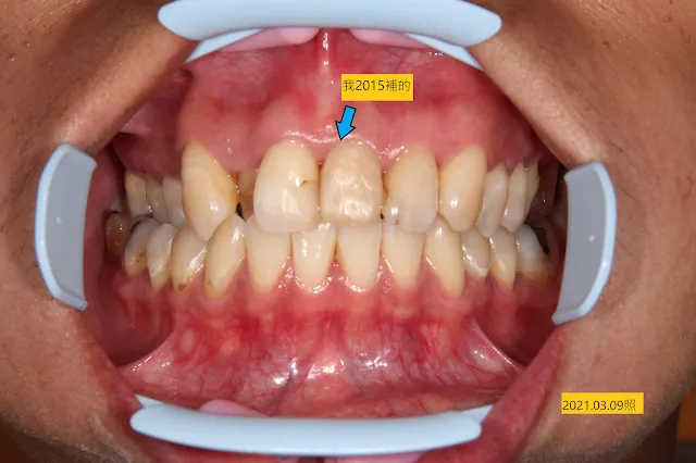
臨床如下圖,我不是要故意炫耀我補的多好...其他有斑點的,再次蛀牙的,全都是在別家補的....而只是要指出一個事實,很多人聽不懂我說口腔是一個潮濕的環境,其臨床意義是什麼?收邊沒收好,加上時間的複利,您知道您的牙科緣為何斬不斷了吧?),而造成N次蛀牙。這次挖開都已到要抽神經的懸崖邊緣了,下次再蛀,直接痛起來,要做根管治療抽神經的機率大增。
假牙,不管哪種材質的,都是印模出來,在口外製作的,邊緣密封性提高很多。

之前的補牙微滲漏染色,左上正中門牙才是我補的(箭頭所指),其他的,不是
若經濟因素,可去別家做一般材質的假牙,只是我發現全瓷冠是比較好的材質。我不在乎假牙是否讓我做...後來出問題,請『別』回來找我,這是一整體的療程,『不是』可東市買馬鞍、西市買長鞭的零件採購。這還蠻常見的,我得說在前...我在乎的是您,是否學會為自己負責。假牙的費用不是只有材質的費用,還包含醫護人員的技術與心態、學識等等無形的軟實力。

尊重,需要靠專業去贏回來
很遺憾的,健保就在便宜的那個圈圈,還往『不存在』那邊走....逆天而行,您知道為何台灣的健保常常在喊快破產了嗎?結構性的問題,違反人性與市場。
另一個可能可行的選項是,3個月左右後,我先用健保給付的材料補起來,觀察,爭取您找錢/存錢的時間空檔,之後才做假牙(但請儘快,不是方便當隨便,就忘了這件事,以為沒事了,密接性不足的後果我已寫在上面)。不過這需要臨床討論,不是每個人的情況都允許這樣子行緩兵之計。
一樣的,在別家做比較便宜的假牙,也是可行的喔,有做總比沒做、補起來好,只是請放在心上,幾年後,要再『主動』去換一次牙套,再花一次牙套的錢。
所以我才會建議我的病人一步到位,選擇較好的材質(例如全瓷冠)。別以為我們在想賺錢,我只是給醫療專業的建議,看太多了。以下這位經典的例子,不用我催,她自己這次就捨得花大錢了。
再次強調,活髓治療並非一定成功,要考慮的環節細節很多,我只是提供一個新的醫療選擇,做了牙套這些,並非保證以後就沒事,後續的日常保養也蠻重要的,畢竟牙齒在您口腔裡,是您日常在使用的。
另一個現成的好例子,就是抽完神經、做完牙套,該做的事都聽醫生建議做啦,仍有部分人(不是全部喔,別緊張),在幾年後,把牙根咬裂啊!醫療是個藝術,不只是單純的SOP。所以我才寫這些衛教文章,在南部,尤其屏東,真的太多人很純樸的聽醫生的話了,沒獨立思考、為自己負責過。
請不要隨便吃好倒相報,介紹病人給我,我會看緣分,用FB篩選彼此的程度是否適合,例如活髓治療,很多人是不懂價值的,徒然彼此累(沒那個心,會覺得我很囉唆、很難約)。我不想當救火隊了,謝謝。
做牙套、牙橋、假牙,一定要先抽神經、根管治療嗎?3階段前中後告訴你,醫師在想什麼?!
三個問題回答您,根管治療〈抽神經〉後牙齒沒做牙套;就像騎摩托車沒戴安全帽一樣的危險!
這部影片講的死亡螺旋,就是下面這張圖

傳統主流醫學治療下牙齒的一生
傳統主流醫學治療下牙齒的一生(上圖解說):
最右側是人的年齡表(您可對照一下您一生到目前的牙科歷險記,是不是照這劇本走?)
螺旋間雙箭頭的longevity,代表每項處置可維持的使用年限。
注意到了嗎?隨年紀增長,每項處置的可維持讓我們正常使用、維持生活品質的年限越來越短,螺旋圈圈也越來越小(象徵我們牙科可做的事也越來越少,最後只剩拔牙這個選項)。多寫實啊!青春真是無敵。我常跟擔憂的家長說您的孩子還年輕,經得起折騰,就是這個意思。他們離見棺材掉淚的時間還久的勒。
一開始是有小蛀牙(caries),可以去填補(filling),就處理掉,但口腔是潮濕的環境,我們又隨時在咀嚼、說話,咬合牙齒(請想像黑暗潮濕又會隨時移動的魔王大迷宮,您在其中探險、冒險)。

傳統治療蛀牙下的牙齒的一生,這張更清楚了
所以很容易因不同的原因造成二次蛀牙(新的蛀牙產生在之前的填補物下方側邊,請想像衛生棉廣告常強調的測漏問題),結果去看牙,牙醫師移除舊的填補物和新的蛀牙,再填補。所以有2個filling代表,可多次填補。
幾次下來,越挖越大洞,牙齒並不是實心的,齒質不夠了(可能可以做假牙,inlay嵌體/onlay冠蓋體/crown牙套,都是假牙的不同形式,一般我們只熟最常見的crown牙套而已),或蛀太深,蛀到牙髓神經了,或牙髓神經失去活性(loss of vitality)的急性發炎、長牙胞,很痛、徹夜難眠、火燒屁股了,趕緊找救火隊牙醫處理,往往就是抽神經(根管治療 endo是縮寫,endodontics)。
抽完神經的牙齒容易裂,所以要做牙套整個包覆起來。
但牙齒是整個枯乾,牙套只是包頭而已(請想像車禍,您有帶安全帽,頭部被保護了,但四肢軀幹等部位仍有受傷的可能啊),可能還是有微滲漏、再次蛀牙的可能(對,你不要以為抽過神經就不會蛀牙了,不是的,那只是掩耳盜鈴、把牙髓神經的警報系統解除而已,所以,假牙材質是很重要的一環選擇)。
再加上根管系統不是如我們想的那麼簡單,是阡陌縱橫的,不是直直的一條條根管,再加上如前述殘留的根管內毒術,都有可能導致假牙可能需重置(revision),或根尖有病變、囊腫,要進行根尖切除的手術(apisecotomy)。最後再不行,就拔牙(extraction)了....拔牙是最後手段,就像人砍頭一樣,可是在醫療資源不足的地方,如需要被義診之地,拔牙是很常見的,不得不必要之惡。
最後附上我寫給一位有經濟能力的長者的文字作結,證明我所言非虛。
你先生就是個好例子啊,即使做了很好材質的牙套(還含黃金量高的,好樣的,在台北天母做的,起碼3萬元),帶牙套的頭部牙冠是沒裂,但裂的是齒槽骨裡的牙根....他後來拔掉裂的牙齒,植牙...他後來跟我說,在台北天母植牙,行情價是15萬元,但他那顆植牙一年後就又出問題了,還好那位醫師後來有處理好了)。





















