FB 文章連結:#20260303

這個 case 初次發布在 #20240305
https://www.facebook.com/groups/2108767862630024/posts/2580842242089248
以及 #20240312
https://www.facebook.com/groups/2108767862630024/posts/2584832371690235
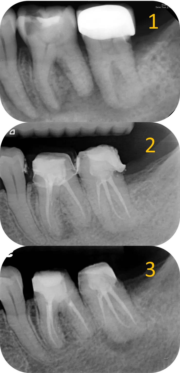
是一位 54 歲,張口超過三指幅或是超過 45 分鐘就會 TMJ 疼痛的女性。
1. 從 initial PA 可以看得出來 36 & 37 的 canal 都細小鈣化到看不到。
2. 第一位 endo 專完成了將近 5 個 canal 後,36 distal apical lesion 有了明顯的癒合。
3. 我接手後完成了 36 的 retreat, mesial apical lesion 也顯著癒合。
而本篇 focus 在 37 的 ML canal.

如同開場白強調的,任何 case 在開始前,務必、千萬、一定要先看清楚 root form (橘色虛線) & canal path (紅線)!
就算 canal 鈣化到看不到,也可以依據 root form 來推測出 canal 可能的走向。
如右圖所示,從依據 root form 推測出的 canal path 看來,原本的路徑似乎偏移不大,是不是繼續往下鑽就可以了呢?
可是前一位是認真的 endo 專ㄟ!事情有那麼簡單嗎?

果然,從 CBCT 才能看清真相!
(因為 B & D canal 的關鍵點太深了拍不到,因此本篇只 focus 在 ML canal.)
不光是 PA film, 在 CBCT 上我們也可以依據 root form 推測出 canal 的走向 (如下排圖中的紅色標示處)。於是我們可以清楚地看出,先前的路徑 (粉紅色箭頭標示處) 明顯地往 lingual & mesial 偏移,並勘勘在 perforation 前停住......
所以真正的路徑應該會是在舊充填的 DB side.

把 CBCT 的資訊記在腦中後,我們轉移到顯微鏡下來看看實際的情況:
可以看到用了五年的 temporary crown 下已經養出了一推 caries......

先把 caries 挖乾淨後再開始 retreat.
這次主要 focus 在箭頭所指的 ML canal.

把舊 GP 大致移除後,幸運地在根管壁上看到一個突兀的洞 (紅色箭頭所指),剛好就位於原本路徑 (粉紅色箭頭) 的 DB side !
拿起 file 瞄準那個洞督進去 ---
(這輕描淡寫的一句話,真要在張口度受限的 37 ML canal 中段做到,其實相當相當不容易......)
就找到了真正的 ML canal pathway !

然後就完成了 C&S 並且 RCF.

總結這兩顆的治療歷程:
1. Initial.
2. 第一次 RCF 後過了六年,36 distal apical lesion 顯著 healing.
3. 我接手後,歷經一年九個月,12 個 appointment 的治療,完成了這兩顆的 retreatment.
4. 一年後的追蹤,36 & 37 的 apical lesion 皆顯著癒合。

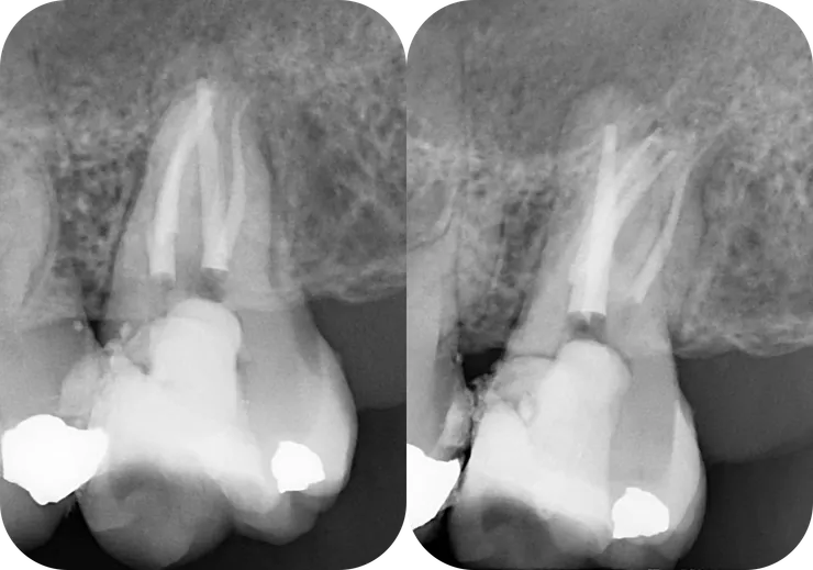
第二個 case 的起始點是這樣,前一位醫師已經找到了 P, MB 以及 MB2.
DB 則卡在半路下不去。
這個 case 雖然還沒被 RCF, 但只要是接手前人的攤子就有可能裡面已經出了包,所以就應該算是 retreatment 的 case.

如圖所示,這次我們把重點擺在 DB canal.
先畫出 root form & canal path.
可以發現,前一位醫師的路徑有些許偏移,然後在 canal 中段彎折處 (紅色箭頭所指處) 製造出 ledge 而因此卡住......

顯微鏡下看起來是什麼樣子呢?
垂直咬合面看進去,可以在 floor DB corner 看到一個疑似 DB orifice 的白點,但 file 在很淺的地方就卡住戳不進去了,似乎跟上頁圖中 file 進去的深度不符合?

偏個角度由 MP 往 DB 看,發現那個白點的 DB side 還有個凹陷處!這裡才是真正的 orifice !

找到入口才只是剛開始,急著把 file 督進去找路也只會像前一位醫師一樣被卡在半路。
因此,在 file 進去前,必須先 coronal enlarge 以創造 file 的自由度。
在這裡,我使用 (想修掉哪裡就修掉那裡的) Komet endo Tracer bur 把從 distal 蓋過來的 covering dentin 修掉,再依序使用 Aurum blue CF --> PTG S1 --> S2 --> F1 --> F2 做到 ledge 所在的深度 (14.5mm),讓 file 在 ledge 以上完全自由......

然而此時 file (19mm #8 C pilot) 一進去還是被卡住找不到路......
一番掙扎後決定拍張 X 光片看看 ---
結果發現到達的深度跟前一位醫師一模模一樣樣...... (比較圖 1 & 4)
然而不同的是,經過 coronal enlarge 後,此時 file 的自由度變大了 (注意到紅色箭頭所指的 orifice 附近的彎度變直了),file tip 的手感就變清晰了!
再搭配圖 2 得知路徑應往 mesial 修正,搭配圖 3 得知 canal 中段以下往 buccal 彎,於是我在 file tip 1mm 處彎了一個小小彎,往 M/B 方向找 --->

就找到了原本的 pathway 完成了這個 case.

比較左右兩圖可以發現 DB orifice 選擇性地往 DB 擴大了許多 (而非以 orifice 為中心均勻擴大),使得 file 得到足夠的自由度得以找到 ledge 以下那個位於 B/M side 的 original pathway.
(過程中掉落的 mesial old restoration 剛好去除了 contra-lateral wall 的干擾,也對治療過程大有幫助!)

最後來檢討一下治療結果:
比較 DB canal 以及 MB & MB2 canal, 可以發現 DB canal 的修形相對保守許多。
其實以這顆的初始條件看來,MB & MB2 的修形是可以更加保守的......
然而逝者已矣,失去的齒質就再也回不來了......
若是在一開始治療前,就可以好好地把這顆的 root form & canal path 如中圖那般好好地描摹出來 (有 CBCT 則更好!),就可以以終為始地,依據每個 canal 的型態, 分別打造出最恰到好處的入口修型!如此一來,就可以在大幅縮短治療時間的同時,也保留更多齒質!
所以,各位醫師們!
升級你的 X 光設備,加強你的拍攝技巧,用力"凝"視每一顆牙,為你的每一個 canal 設計出最不會後悔的治療計畫吧!
過度努力不值得鼓勵喔......


















