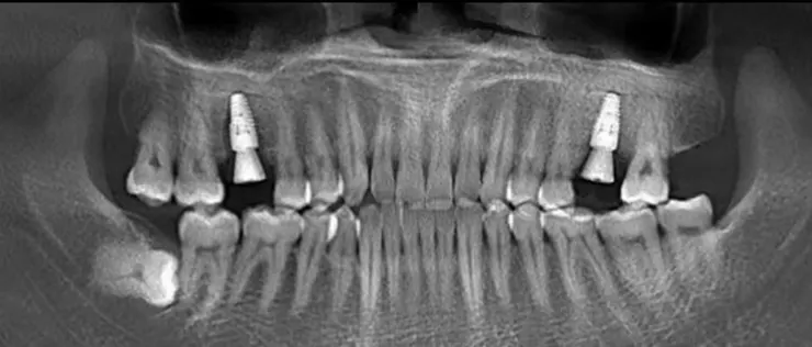
之前我牙齒痛嘅時候會自己搵消炎葯食,唸著忍下就會自己好返,但係好黑仔啊,食硬嘢嘅時牙齒脫咗,開始仲以為等得閑去補返就得喇。冇想到去鏡湖醫院拍牙片後,醫生話已經冇辦法保留牙根,要做種植牙。我問咗下價錢,最平係20000 mop,真係好貴!唸著上Google search下有冇平d嘅醫院,啱好睇到珠海嘅維港口腔診所好似幾唔錯,好多去過戈度嘅澳門人都推薦。價錢都好實惠,韓國親水物料種植牙體一隻6580人仔,並且影x光係免費嘅,我就book好咗位去種牙。
過咗關口直行幾百米就到診所,位置好好揾。姑娘都好熱情,會問我食咗早餐冇,肚餓嘅話有免費嘅麵包仔頂肚。拍完牙片之後,陳醫生仔細睇咗我嘅牙片,制定好方案之後就開始手術啦。

陳醫生手勢好好,除咗打麻葯戈陣有d痛,之後真係冇感覺到痛,兩隻爛牙根剝咗十幾分鐘左右。剝完後麻葯失效,會感覺到牙齒戈度有d痛,但係痛嘅程度可以接受。剝完牙後兩個月複雜,要等骨頭窩生好之後先可以種牙。複診嘅時候,唸起我嘅智慧齒有d痛,陳醫生幫我睇咗下,話裡隻智慧齒最好剝咗佢,唔係嘅話會影響其他牙齒。我唸著等种完牙後再來剝。

種牙比剝牙好,冇痛感,而且好快,種兩隻牙10分鍾搞掂,可能因爲陳主任手勢比較好啦。之後就係取牙模定制牙冠,好快就有新牙喇!


























