2015.6.21下午大概四點半多,我幫新苦主架設完新主機之後,算是把近期所有案件都告一個段落,準備回家好睡一覺,補一下這兩三週,因為趕進度缺少的睡眠。
回到家後,洗了個澡,裝備直接先放一邊,接著就直接累到昏睡過去。這個覺很好睡,完全沒作夢,算是很舒服的一覺。
不過醒來的過程很奇幻,突然被某種不知名力量喚醒,接著感覺得像喝了一整瓶威士忌,開始出現那種頭腳交換、天旋地轉的感覺。
那份暈眩不適感,讓我瞬間驚醒過來,這樣的感覺,不是一般不舒服感冒的體感。腦中浮現一個趕緊去急診的聲音,所以立刻換件衣服,帶上錢包、健保卡,直接出門。出門前,我還看了一下牆上的時間,依稀記得大概是晚上十點多左右,算一下我這一躺下去五六個小時就過去了??已經很久沒有睡到這麼深沉了。
從我家樓下大門,走到巷口招呼計程車大約有100公尺左右的距離,為了保持清醒,我加速了自己的腳步,因為又開始感覺到想疲倦了。 (應該是又快昏過去)
幸運之神眷顧,一出巷口,剛好有台計程車出現,我招手攔下,趕緊上車。
上車後我立刻說:「司機大哥,我人不舒服,請趕緊送我去榮總急診。」
短短八百公尺的路程,我先拿出錢包,取出一張100元鈔票,同時將健保卡放在襯衫胸口的口袋裡,我緊握著著那張鈔票,努力不讓自己睡著。一路上搖搖晃晃,感覺車子開的蠻快的,不過我已經沒什麼記憶了。車到了急診門口停好後,我付了車資,取回找的30元零錢放進我褲子口袋,接著拉開車門下車。
同時,我拿出我的健保卡,拿在手上,搖搖晃晃的走到門口的檢傷櫃檯。
我向值班的護理師說:「我人不舒服,這是我的健保卡…」
接著,我就什麼都不記得,當時應該是昏迷過去了。
醒來之後,我已經躺在急診室的病床上面,護理師發現我醒了,過來詢問我家人的聯絡方式。此時我腦中什麼都想不起來,只能開始不斷的重複說著,我的名字、手機號碼、太座的名字、她的手機號碼。當下,我真的什麼都想不起來。
我很急,怕下一秒我又忘了我要講什麼,所以不斷重複,短短的幾分鐘後,我又昏過去。
接著是第一段夢境
感覺是在太空艙裡面,艙裡面有很多床位,大家都在治療,我知道身體出現狀況,隱約感受到旁邊有人在跟我講話,她說現在安全了,只要好好在這邊治療,就不會有問題。
心裡一驚,這麼多高科技的設備…慘了?這下不知道要花多少醫藥費??
我只是一個修電腦的苦命工程屎啊~
沒多久我又睡了過去。
時間不知道過了多久,我稍微清醒了一下,剛好接著之前商會的兩個很熟的伙伴出現,我認出他們兩位(銘龍跟佳哲,謝謝你們來加護病房看我,我記得這一段),不過我不太能講話,只能跟他們點點頭,示意感謝他們來探訪。
其實據說後來有不少之前的戰友們想要探訪,不過都被太座婉拒了,畢竟我幾乎都在昏迷之中。
又過了一段時間,隱約的感覺到我被綁著,然後有種被迫害的恐懼感浮現。後來太座出現,我比較安心下來,然後悄悄的跟她說:「你跟她們說,請把我放出去,這些人是壞人。」
太座在我耳邊說:「沒事沒事,你這樣躺著就好,她們是在幫你。」
我說:「你不要相信他們,真的!你幫我跟她們說。」
太座繼續溫柔的說著:「你要乖乖躺好,這陣子你太累了,要好好休養一下。」
我不得不信任,接受了這個狀況,帶著恐懼感又沉沉睡去。
這是第二段夢境…
後來太座跟我說:「當時我整個人抓狂,把手上有的點滴管路全部扯掉,當時出動十多名男女護理師壓制,太座被護理師急Call到現場協助安撫,才勉強把我綁在床上。」
醫師表示那時我是得了「加護病房症候群」,因為加護病房裡面,永遠都開燈,導致長時間待久了之後,會出現日夜不分的躁動症狀。
一段時間後再次醒來,感覺我應該是在野戰醫院,那種太平洋戰場的戰場醫院,有一種很輕鬆的感覺,那種海邊的夏日風情、微風徐徐的慵懶感。環顧四周,不管是設備、床單,都有那種陳舊的亞麻風的感覺。
這時候我清醒的時間開始變的比較長,我嘗試去回想我在哪邊?發生了什麼事情?不過意識仍十分混亂,只知道我是在野戰醫院裡面,但想不起來是怎麼進來這邊的。
夢境都能建構出這樣的環境,或許是前世的記憶吧?
當時,就覺得身體很重、很累,完全沒力氣起來,護理師進來餵我吃一種很甜很甜的膏狀糖漿,吃完沒多久我開始發呆,接著又睡著了。
這是第三段夢境
大約兩週後,我才真的恢復意識,好像睡了很久的一覺,除了幾段夢境還有記憶之外,幾乎不記得入院前發生的所有事情。由於已經接近住院30天的標準,我想說該做的檢查也做了,手腳雖然尚不靈活,但也都無大礙,生活也能自理,想說就趕緊出院,把床位留給真正需要的人。
在最近的固定三個月回診拿藥,我有反應最近的一些狀況,神經內科醫師突然要求我再做一次核磁共振,畢竟時間那麼久了,想再確認一下腦內的狀況。
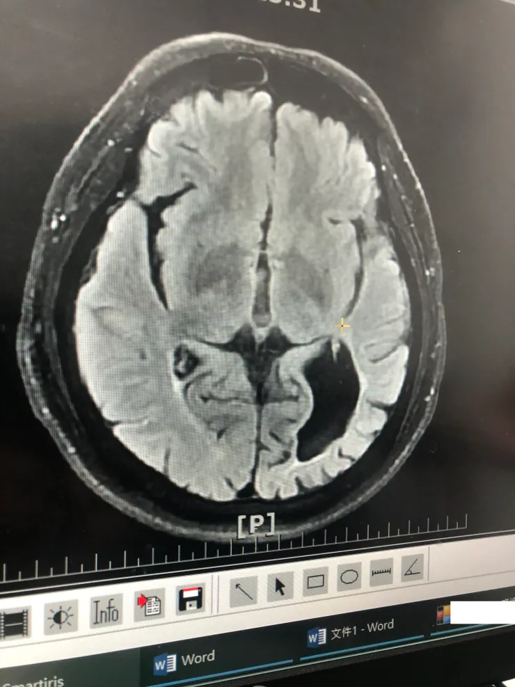
安排好了檢驗的時間,也順利完成了檢查,再次回到門診看報告的時候,造影的結果卻讓我十分震驚。看著電腦上面的影像,心理有很大的震撼,我倒底是闖過了多大的生死關啊~
大腦內部顯影照片,竟然有一個超大的空洞??

腦內缺了一大塊區域...看了挺嚇人的
「腦洞大開」成這樣,而我的思考邏輯、講話幾乎都沒有什麼影響,四肢行動也沒有不便,真不知道是幾輩子修來的福報,過了這麼大一關,人生還能正常繼續。現在只有一些短期記憶問題,還有反應比較慢一點,思考運算有一些影響。
隱約感受到,當年傍晚回家睡到一半的被喚醒,出門時恰巧出現的那台計程車,方方面面的,都有一股神秘的力量在看護著我,只能假設這些都跟我煉功有關吧!
後記
一直想把這一段以文字的方式記錄下來,不過過程中的寫寫停停,十分疲累,寫完之後真的有種元氣大傷的感覺。而且文章上架前的修改,幾乎好幾個段落,都整個改掉重寫,幸好最後花了兩三週的時間,還是順利完成了!
給自己鼓勵一下!

















