❤️臨床上我們常會遇到因為喘, 咳嗽, 呼吸困難等等而就診的病患。
這些症狀, 在每個病患都有可能是不同原因造成,而在台灣小型犬如馬爾濟斯, 貴賓, 博美犬, 臘腸犬等等都是很流行的犬種, 而這些小型犬又是最容易在年紀大的時, 單獨或同時出現心臟二尖瓣退化性疾病或呼吸道, 如氣管支氣管塌陷與肺部疾病等問題。每種疾病治療的方式會有所不同,所以釐清每個症狀背後的原因是非常重要!
☝️有幾個可以稍微區別是否已經出現心衰竭
(stage C) 的判斷標準

瓣膜性心臟病分期
👩⚕️通常心臟需要大到一定的程度
➡️通常在有慢性二尖瓣問題的狗,需要左心房大到一定的程度, 才會導致肺靜脈壓變,進一步導致肺積水。換句話說因為心臟病導致肺積水的狗, 心臟通常需要很大或至少是中等程度的變大。
在一項研究指出有肺積水的查理士王子獵犬, VHS -vetebral heart size (心臟椎骨比例)一定是大於12的。但如果出現急性心臟腱索斷裂則會出現例外 (心臟還沒變大, 但出現肺積水的狀況)不過這種狀況出現的機率很低。

VHS -vetebral heart size (心臟椎骨比例)
👩⚕️在二尖瓣疾病心臟病的心衰竭通常會有嚴重的心雜音
➡️因為在小型犬最常見的心臟病是瓣膜退化性心臟病, 比較少出現擴張性心肌病。所以在常見的狀況下如果只有一到二級的心雜音,通常心臟病的狀況都算輕微, 出現心衰竭的狗通常至少都會有三級以上的心雜音。但不代表聽到中等到嚴重程度的心雜音就一定有左心衰竭 (心臟病造成的肺積水)!
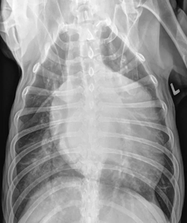
👩⚕️診斷心臟病造成的肺積水還不簡單?照個胸腔xray 如果有看到肺白白的跟看到大大的心臟就是心臟病造成的肺積水了?
➡️在明顯的病例上, 的確當我們看到擴張的左心房與肺積水加上明顯的心雜音, 就可以診斷是心臟病造成的肺積水。但是總是有遇到一些比較難以區分的時候, 造成的原因有可能是當我們拍xray 時剛好拍到狗狗吐氣時, 肺就會看起來比較實質 (比較“白“)但並不是真的有肺積水。或是遇到年紀大且體型又比較胖的動物,肺部影像當然也會看起來比年輕又瘦的狗“白“。另外像是如果動物同時又有肺臟疾病時肺部影像也會比較難區分。所以如果我們沒有看到明顯左心房變大且肺積水出現在心因性肺積水常出現的位置, 就需要更多的檢查去輔助判斷。

心臟擴張 肺積水

心臟擴張肺積水
👩⚕️數睡眠的呼吸次數是非常重要的
➡️任何有肺積水的動物都是呼吸快速的, 所以如果呼吸次數小於30的動物, 在大多數情況下是不太有可能有肺積水。但是在診間, 很多的狗狗都會很興奮,或是很害怕, 也會出現呼吸次數增加的狀況, 所以在診間的話, 獸醫師會比較難區別動物是興奮或害怕的喘或是心臟有問題造成的喘。因此飼主們在家裡自己幫家裡的狗狗數睡眠或是平靜休息時的呼吸次數就特別重要!可以提供獸醫師一個診斷的依據!
👩⚕️利尿劑的測試
➡️有很多原因都會造成動物很喘, 但如果我們已經發現動物睡眠呼吸次數增加或是呼吸變大力, 且胸腔已經有肺積水的狀況, 此時獸醫師在避免造成動物更大的呼吸窘迫前, 一般不會在此時做進一步的檢查, 而會給予利尿劑看看, 如果呼吸的狀況在給予利尿劑後改善很多,則大致可以確定狗狗有心因性肺積水。如果沒有反應, 則狗狗有可能是其他肺部問題或是給予的利尿劑劑量不夠。
👩⚕️大多數聽診心雜音的狗有咳嗽症狀並不是心衰竭造成的
➡️目前心臟病藥給予的共識是至少心臟要有中等到嚴重的擴張且通常要有心因性肺積水才會給予利尿劑。診療的過程中有時會遇到有些病患吃著很久的心臟病藥而且裡面也有利尿劑, 但追遡起飼主一開始吃藥的原因可能是因為狗狗有咳嗽的症狀而去就診, 但那時並沒有明顯喘或呼吸困難等症狀。且有時這些狗並沒有照胸腔xray或心臟超音波等。
➡️心臟病造成的肺積水有時的確會造成狗狗咳嗽, 但更常見造成狗咳嗽的原因是呼吸道的問題(例如氣管或是慢性支氣管炎等)。所以心雜音+咳嗽並不等於肺積水!!也不等於一定需要吃到心臟藥物。
➡️有時咳嗽的動物吃了利尿劑後的確咳嗽狀況會緩解, 但也不代表咳嗽是心臟病造成的, 因為利尿劑本身也有氣管擴張的效果, 所以可能對於呼吸道的問題也會有點效果。
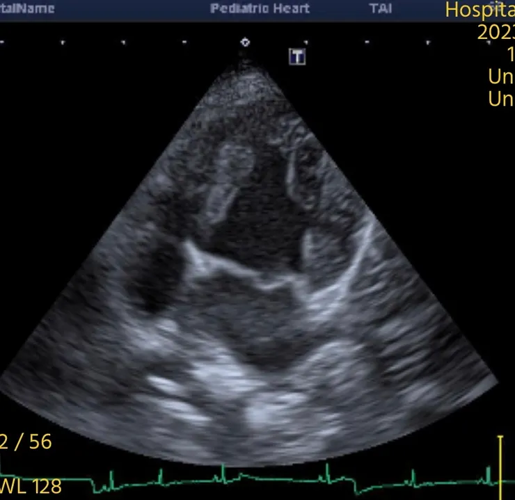
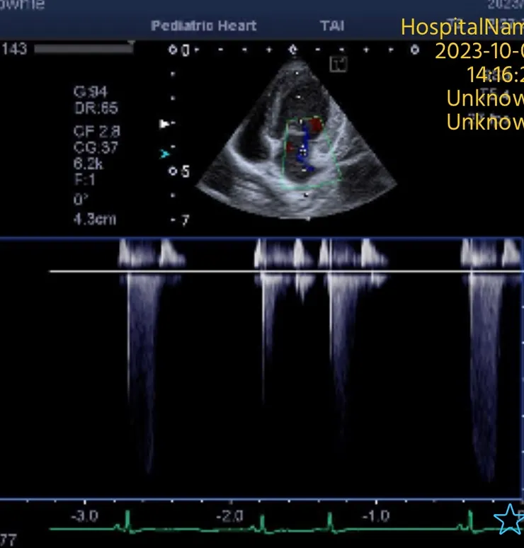
👩⚕️心臟超音波可以“協助“我們診斷心因性肺積水, 但不能單用心臟超音波確定肺積水
➡️常有主人跑來說想要掃心臟超音波, 確定家中狗狗或貓咪喘的原因是否是因為心臟病造成的, 可不可以只照心臟超音波不照xray?
➡️心臟超音波可以幫助我們看到左心房的擴張或是腱所斷裂瓣膜退化等, 詳細一點的話也可以評估左心房的壓力用來輔助我們判斷心因性肺水腫的可能性, 但心臟超音波無法看到肺臟狀況。所以最終還是會需要用xray 去看肺部的狀況, 證實有肺積水。

心臟超音波 二尖瓣退化

心臟超音波二尖瓣繞流
👩⚕️聽診聽到濕囉音(crackles)一定有肺積水?
➡️肺臟的疾病如慢性支氣管炎也會造成同樣的聲音, 所以如果有狗狗不喘但聽診聽到濕囉音也需要考慮肺臟的疾病。
👩⚕️呼吸性心律不整
➡️通常有心衰竭的動物比較少出現呼吸性心律不整, 但這樣的心律不整有時在呼吸道的疾病卻會聽起來更明顯。也可以作為區分的一個參考。
•
Journal Articles
1. Lord PF, Hansson K, Carnabuci C, Kvart C, Häggström J. Radiographic heart size and its rate of increase as tests for onset of congestive heart failure in cavalier king charles spaniels with mitral valve regurgitation. J Vet Intern Med. 2011;25(6):1312-9
Book Chapters
1. Kittleson MD and Kienle RD: Small Animal Cardiovascular Medicine - Chapter 19 - Diagnosis
Proceedings
1. Rishniw M. It Used To Be Simple: The Basics of Diagnosing CHF. BSAVA Congress 2013




















