🙋那麼那麼多種內分泌測試方法,該選擇哪一種測試方法呢?
➡️ ACTH -adrenocorticotropic hormone 促腎上腺皮質素刺激測試
📖使用時機:可以使用在懷疑有腎上腺亢進但LDDST結果與症狀不吻合時的再確認。
👍優點:
• 只需要等待一小時。
• 相較於LDDST ,比較少偽陽性。
• 相較於LDDST 程度可以使用在身體有些慢性疾病的動物如糖尿病或是心臟病等,但也是不適合使用在厭食或是有嘔吐體重下降等動物。
• 唯一可以分辨醫源性腎上腺亢進的檢測(使用過多外來類固醇)。
• 可以用來監控使用腎上腺抑制藥物如trilostane 藥物的使用效果。
• 可以用來診斷醫源性腎上腺亢進(iatrogenic Cushing) 的黃金標準。
• 診斷愛迪森氏症 (addison‘s diseas)
👎缺點:
• 需要用到內分泌測試藥劑, 所以費用昂貴。
• 比起LDDST 有比較多的偽陰性,大約有兩三成有腎上腺亢進的動物做完ACTH 測試會在正常範圍內,另外兩三成則會出現在灰色地帶的數值。這個測試在腎上腺腫瘤型亢進的動物有41%的機會會出現偽陰性,但腦垂腺體型腎上腺亢進的動物也可能會出現正常的數值。
• ACTH測試的結果只能判定是否有腎上腺亢進,但無法分辨是腎上腺腫瘤型或是腦垂腺體型的腎上腺亢進。
📍如何正確的測試ACTH
• 通常使用synacthen (teracosactrin) 或是cortrosyn (cosyntropin)

ACTH 測試藥劑

ACTH測試藥劑
• 測試的動物不需要禁食,但至少不能有脂血症。但如果是測試吃藥後的反應,則*不*建議禁食!
📍如果ACTH測試,產生出跟症狀不一致的結果大概有什麼可能性?
• 人為或是實驗室的誤差。
• 使用過期的acth 測試劑。
• 曾經在測試前的一兩天內口服或是注射過類固醇,例如prednisolone, prednisone, methylprednusolone, hydrocortisone, 這些類固醇可能會作為皮質酮(cortisol)測試到,所以可能會增加cortisol的濃度。所以如果要使用這些藥,至少要停藥12 hrs,但如果懷疑愛迪森氏症的病患則可以考慮給予dexamethasone ,因為dexamethasone並不會被測試到。但是dexamethasone 雖然不會被當作cortisol 測試到,但它仍為一種類固醇,如果有投與一段時間,仍會抑制腦垂腺腎上腺軸。

醫療上各種會使用到的外源性類固醇
• 長期使用任何類固醇:即使是局部使用的類固醇如眼藥耳藥皮膚藥膏,都有可能會抑制腦垂腺腎上腺軸,造成ACTH 鈍化的效應(造成給予ACTH 後cortisol的上升比原來的狀況低一些)。至於多久會恢復正常,跟投與的藥物種類,途徑,與劑量相關,也與病患本身的體質相關。
• 慢性壓力:生病的動物通常會活化,下視丘腦垂腺與腎上腺軸,造成腎上腺的增生。所以生病的動物通常會有比較高的類固醇濃度。曾有研究指數將近有一半有慢性生病的動物會造成LDDST 的偽高,將近20-30%的動物會有acth 測試的偽高。所以建議生病的動物需要先治療好疾病再做進一步的內分泌測試。
• 抗癲線藥物(phenobarbital, promidonme, phenytoin)使用有些抗癲癇藥物會造成類似腎上腺亢進症狀。phenobarbital 可能會影響LDDST 的測試結果。所以建議投與抗癲癇藥物的狗使用acth 測試。
• cortisol 檢體沒有送到檢驗機構測試而是使用簡便的醫院內測試:如果症狀與結果不一致建議送檢。
•
➡️ LDDST- low dose dexamethasone suppression test 低劑量類固醇抑制試驗
📖使用低量類固醇測試
通常是 dexamethasone sodium phosphate 或是dexamethasone polyethylene glycol IV
👍比較少出現偽陰性,大約有九成患有腎上腺亢進的狗在測試後八小時
• 會出現血中cortisol 濃度>1.4 µg/dl (剩下的6-8%則會在邊緣值0.9-1.3 µg/dl) 則可以診斷為腎上腺亢進。
• 有一半的機會可以使用LDDST在四小時與八小時後的濃度變化,區分腦垂腺型的腎上腺亢進 (PDH) 或是腎上腺腫瘤型的腎上腺亢進 (AT)
👎
• 需要花八小時的時間測試。
• 有比較高的偽陽性,如果動物有系統性疾病或是有在用外源性的類固醇,就容易造成偽陽性。所以應該要避免在生病的動物或是有使用外源性類固醇的動物使此測試。
📍需要注意的是:如果有使用短效類固醇需要停藥兩週以上,長效類固醇則需要停藥四週以上。
🙋那麼什麼是UCCR (urine cortisol: creatinine ratio) 尿液中類固醇與肌酸酐比例呢?
👩⚕️ 簡單來說這是一個排除的測試,敏感性高(75-100%) 但特異性低(20-25%)。因為非常敏感,大約97%有腎上腺亢進的狗都會出現陽性的UCCR,所以如果驗到陽性,不見得真的有腎上腺亢進,需要進一步檢測,驗到陰性則可以排除腎上腺亢進的可能性。
➡️可以使用在沒有明顯臨床症狀,但血液生化學如ALKP驗到相關指數偏高者。
➡️UCCR 需要請主人收集在家的尿液,不建議收集在醫院中的尿,因為會因為緊迫而影響數值。
🙋那麼要如何區別腎上腺亢進的類型如腦下垂體型腫瘤PDH 與腎上腺腫瘤型AT
👩⚕️
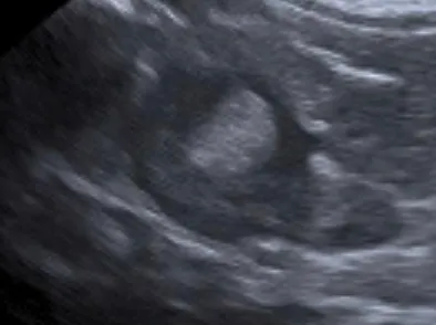
➡️腹腔超音波區別腎上腺的型態:超音波可以分辨腎上腺的對稱性,通常PDH兩邊的腎上腺是對稱的。如果是腎上腺腫瘤,會失去內部正常的結構,另一側的腎上腺也會比較小(腎上腺高度會小於0.4-0.5cm),
通常腎上腺腫瘤是單側的,但也有可能出現雙側。腎上腺腫瘤跟巨型節結性增生 (micronodular hyperplasia) 難用影像區分,但一般腎上腺高度如果大於四公分則通常是惡性的。腎上腺腫瘤會侵入後腔靜脈,轉移到腹腔其他器官或是胸腔。

正常的腎上腺型態

腫大的腎上腺型態
➡️測試內源性的ACTH (endogenous ACTH concentration)
➡️低劑量或是高劑量類固醇測試,HDDST and LDDST
• 如果給予dexamethasone 後四個小時低於實驗室的正常值或基礎值的一半,或是八小時後仍低於基礎的一半但是超過正常值。則有75%的PDH病例會至少符合一項規定。所以如果有抑制則可以確定是PDH。
• 如果沒有抑制,則腎上腺腫瘤(AT) 或是腦下垂體腫瘤型(PDH)都有可能。
📍一般是先建議使用腹腔超波確認腎上腺形態區分,或是測試內源性ACTH如果兩種測試都沒辦法做到時再使用LDDST 或 HDDST。
References
• Behrend, E.N. et al. (2013) ‘Diagnosis of spontaneous canine hyperadrenocorticism: 2012 ACVIM consensus statement (small animal)’, Journal of Veterinary Internal Medicine, 27(6), pp. 1292–1304. doi:10.1111/jvim.12192.
• Bugbee, A. et al. (2023) ‘2023 Aaha selected endocrinopathies of dogs and cats guidelines’, Journal of the American Animal Hospital Association, 59(3), pp. 113–135. doi:10.5326/jaaha-ms-7368.
• Carotenuto, G. et al. (2019) ‘Cushing’s syndrome—an epidemiological study based on a canine population of 21,281 dogs’, Open Veterinary Journal, 9(1), p. 27. doi:10.4314/ovj.v9i1.5.
• Wasik, B. (2020) ‘ACTH Stimulation test ’, Medical FAQs.
• Wilson, S. (2017) ‘Diagnosing Hyperadrenocorticism FAQ’, Medical FAQs.






















