陳小姐來到診間諮詢時,一看到診療椅就有點遲疑,詢問之下才知道,她從小就有很不好的牙科看診經驗,後來一看到診療椅就會害怕。就連前幾年做整排假牙時,都是很恐懼的完成,今天真的是因為先生來植牙後很推薦,這才鼓起勇氣來尋求舊假牙搖晃疼痛的解決辦法。
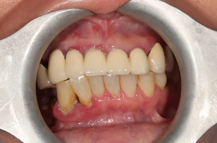
好不容易安撫她躺下檢查後,我發現陳小姐口腔問題真的很棘手,上排舊假牙多處不密合蛀牙甚至搖晃,下排牙齒也是厚厚一層結石,有幾顆牙齒也是搖晃不堪使用!詢問上次洗牙時間時,她說「嚇都嚇死了,哪還敢洗牙,我一看醫師拿工具就全身發抖了」
原始牙齒照片

經過幾次討論與簡單治療建立互信後,陳小姐慢慢可以在引導下在門診打麻藥做緊急處理,我們也確定了上排要採取ALL-ON-4全口植牙重建,下排局部植牙重建的治療計畫。陳小姐感嘆地說:「要是早點遇到林院長,我牙齒應該也不會拖到這麼嚴重!」隨後也堅定地說:「這次我會勇敢的配合完成整個治療。」
手術當天,在舒眠麻醉下我幫陳小姐完成了植牙手術的部分,後續下午準備進行假牙製作時,因為上午麻藥退得差不多了,我幫陳小姐重新上麻藥,這次卻異常地順利。
我問道:「這次妳好像很放鬆耶~都不太害怕,跟第一次治療差超多耶~」
陳小姐:「還是會有點怕啦~但是因為院長很親切也很溫柔,所以我很放心,交給你治療一定可以做好!」
後來當天臨時假牙也很順利地完成,雖然經過一天的手術與假牙製作,陳小姐跟我都有點疲憊,但醫病之間就此建立了一種革命情感,也為接下來一起面對坎坷的正式假牙最後一哩路打下了良好基礎。
臨時假牙照片

後來雖然經歷了臨時假牙斷裂的修復,還有植體骨整合不如預期而需要額外手術補植植體,但因為陳小姐相當理解醫療沒有百分百,配合地進行了相關救援手術。雖然花了比較多的時間,但最終還是順利完成了整個All-on-4全口植牙重建治療。
嚴重磨牙導致臨時假牙斷裂


如同完成治療時陳小姐最後給我們回饋的:「一開始我對All-on-4的認知就是快,但院長從諮詢到整個治療過程都有強調,他的治療理念是快的剛剛好,能快的時候就快,但遇到狀況就要穩紮穩打,確保高治療品質的前提下盡可能的快。」
「臨時假牙斷裂甚至嚴重磨牙導致植體搖動時,院長第一時間不是推卸責任,而是說明原因,並且表明雖然很遺憾發生我們雙方都不樂見的狀況,但我有能力也願意去好好處理。雖然會多花點時間,但只要按部就班去處理,我們可以解決這些問題的!」
林建佑院長也要藉此案例宣導:
- 醫療沒有百分百成功的,即使按照主流醫療sop去執行,都還是可能面對併發症甚至失敗的狀況。更何況一味主打低價的診所/醫師,在各種cost down下治療成功率只會更差,千萬不要貪小便宜低估專業的價值。
- 即使有上百例的臨床經驗,我仍積極參與國內外相關All-on-4植牙技術的進修,就是希望在提高成功率的同時,面對偶發的併發症狀況仍可以從容不迫的進行補救治療,最終還是能提供給每位患者經得起數十年考驗的治療成果附帶一提,All-on-4治療的併發症大都是可以修復的,偶發的失敗並不可怕,重要的是 醫師有能力也願意去好好處理。
- All-on-4不是一味求快,更不可能削價競爭。我的核心治療理念就是「在確保高治療品質的前提下,盡可能的快。」
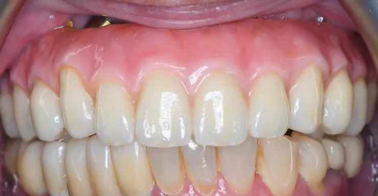
術後完成


















