付費限定

久咳不癒的二十種可能--14 菜瓜布肺 淺談肺纖維化

更新 發佈閱讀 5 分鐘

 

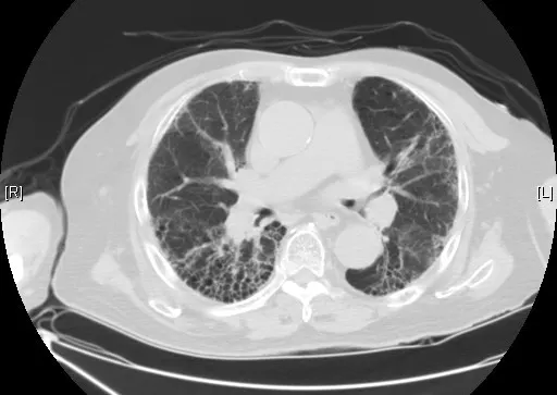
電腦斷層顯示蜂窩狀(honeycombing)變化病灶,看起來像菜瓜布一般。

電腦斷層顯示蜂窩狀(honeycombing)變化病灶,看起來像菜瓜布一般。

以行動支持創作者!付費即可解鎖
本篇內容共 2355 字、2 則留言,僅發佈於久咳不癒的20種可能你目前無法檢視以下內容,可能因為尚未登入,或沒有該房間的查看權限。
留言
avatar-img
九日的文字廚房
62會員
242內容數
因為重拾幽默感而倍感欣慰的愛吃鬼。 希望文字除了散播歡樂散播愛之外,還可以散播健康與故事。 努力朝醫師斜槓小說家持續邁進! 出版作品: 菜醫師,借過一下 https://www.books.com.tw/products/E050131287
九日的文字廚房的其他內容
2024/10/31
本文與建工心喜診所身心科王圓媛院長共同創作 美魔女上班族陳姊,去年得過新冠肺炎後,一直反覆咳嗽。一開始有痰,新冠康復後轉成乾咳,並合併腦霧和失眠的症狀。陳姊描述這種乾咳,比較像是喉嚨癢引起咳嗽、常常因為覺得癢癢的清喉嚨,導致不容易入睡,干擾生活與睡眠。 陳姊看過很多醫生,做了很多檢查,胸腔科醫師
Thumbnail
2024/10/31
本文與建工心喜診所身心科王圓媛院長共同創作 美魔女上班族陳姊,去年得過新冠肺炎後,一直反覆咳嗽。一開始有痰,新冠康復後轉成乾咳,並合併腦霧和失眠的症狀。陳姊描述這種乾咳,比較像是喉嚨癢引起咳嗽、常常因為覺得癢癢的清喉嚨,導致不容易入睡,干擾生活與睡眠。 陳姊看過很多醫生,做了很多檢查,胸腔科醫師
Thumbnail
2024/10/18
本文與美新診所院長新陳代謝科莊立倫醫師共同創作 60歲左右的的林太太,這二十幾年來常為乾咳和頸部壓迫感所苦,林太太的症狀還包含異物感和吞嚥困難,更困擾的是,只要躺平睡覺就很快被一陣連續乾咳和呼吸困難的窒息感弄醒,因此只能側睡。這麼困擾的問題,怎麼會持續二十幾年都沒有解決呢? 原來,林太太三十幾歲
Thumbnail
2024/10/18
本文與美新診所院長新陳代謝科莊立倫醫師共同創作 60歲左右的的林太太,這二十幾年來常為乾咳和頸部壓迫感所苦,林太太的症狀還包含異物感和吞嚥困難,更困擾的是,只要躺平睡覺就很快被一陣連續乾咳和呼吸困難的窒息感弄醒,因此只能側睡。這麼困擾的問題,怎麼會持續二十幾年都沒有解決呢? 原來,林太太三十幾歲
Thumbnail
2024/10/02
五十幾歲的黃小姐,最近一兩個月一直乾咳,不一定什麼時候咳嗽,也沒什麼麼痰。她以前從來沒有發生過這樣的狀況,就算是之前得新冠肺炎,也是咳個一兩個禮拜就好了。黃小姐本身也沒有氣喘和抽菸的狀況,最近也沒有流鼻涕,吃止咳藥來吃好像會好一點,但沒吃藥又開始咳,讓她困擾不已,因此來到胸腔科門診就醫。 門診回顧
Thumbnail
2024/10/02
五十幾歲的黃小姐,最近一兩個月一直乾咳,不一定什麼時候咳嗽,也沒什麼麼痰。她以前從來沒有發生過這樣的狀況,就算是之前得新冠肺炎,也是咳個一兩個禮拜就好了。黃小姐本身也沒有氣喘和抽菸的狀況,最近也沒有流鼻涕,吃止咳藥來吃好像會好一點,但沒吃藥又開始咳,讓她困擾不已,因此來到胸腔科門診就醫。 門診回顧
Thumbnail
看更多
你可能也想看
Thumbnail
5 月,方格創作島正式開島。這是一趟 28 天的創作旅程。活動期間,每週都會有新的任務地圖與陪跑計畫,從最簡單的帳號使用、沙龍建立,到帶著你從一句話、一張照片開始,一步一步找到屬於自己的創作節奏。不需要長篇大論,不需要完美的文筆,只需要帶上你今天的日常,就可以出發。征服創作島,抱回靈感與大獎!
Thumbnail
5 月,方格創作島正式開島。這是一趟 28 天的創作旅程。活動期間,每週都會有新的任務地圖與陪跑計畫,從最簡單的帳號使用、沙龍建立,到帶著你從一句話、一張照片開始,一步一步找到屬於自己的創作節奏。不需要長篇大論,不需要完美的文筆,只需要帶上你今天的日常,就可以出發。征服創作島,抱回靈感與大獎!
Thumbnail
關於就診的醫療,再偏鄉地帶或是城市區裡,時常會有掛急診的內科患者,基本上有一定比例是氣喘,氣喘的原因其實分類很多,而急診處理完後通常會建議門診胸腔科續追蹤這樣的情況,因為藥物的控制不穩定,仍發作機率是高的,這大概就是氣喘需要注意的事項。
Thumbnail
關於就診的醫療,再偏鄉地帶或是城市區裡,時常會有掛急診的內科患者,基本上有一定比例是氣喘,氣喘的原因其實分類很多,而急診處理完後通常會建議門診胸腔科續追蹤這樣的情況,因為藥物的控制不穩定,仍發作機率是高的,這大概就是氣喘需要注意的事項。
Thumbnail
今天分享的是一位年輕帥哥病友的求診故事,他今年初開始有鼻塞、濃鼻涕、夜咳等症狀,還會一直聞到惡臭味,甚至只要沒吃退燒藥就會持續高燒,每天都處於很疲倦的狀態。經過蘇偉翔醫師問診及電腦斷層檢查,判斷他有『慢性鼻竇炎』加上大量『鼻竇瘜肉』!
Thumbnail
今天分享的是一位年輕帥哥病友的求診故事,他今年初開始有鼻塞、濃鼻涕、夜咳等症狀,還會一直聞到惡臭味,甚至只要沒吃退燒藥就會持續高燒,每天都處於很疲倦的狀態。經過蘇偉翔醫師問診及電腦斷層檢查,判斷他有『慢性鼻竇炎』加上大量『鼻竇瘜肉』!
Thumbnail
本文與高雄長庚心臟科蕭豪毅醫師共同創作              一個胖胖壯壯的年輕人,感覺很疲勞的走進門診,還未到不惑之年的小陳,最近睡眠品質很差,一躺下來就有咳又喘,一定要坐起來才會覺得比較好。一開始只是睡覺不好睡,墊高枕頭半坐著睡還可以解決,沒想到後來連在工地做粗活時都覺得胸悶,喘不過氣
Thumbnail
本文與高雄長庚心臟科蕭豪毅醫師共同創作              一個胖胖壯壯的年輕人,感覺很疲勞的走進門診,還未到不惑之年的小陳,最近睡眠品質很差,一躺下來就有咳又喘,一定要坐起來才會覺得比較好。一開始只是睡覺不好睡,墊高枕頭半坐著睡還可以解決,沒想到後來連在工地做粗活時都覺得胸悶,喘不過氣
Thumbnail
  ◎案例一:中部一位師姐為其小孩請示,以下來文照登:    孩子國小三年級起,反覆發作氣喘(咳),每次都需靠藥物治療1個月以上,現五年級,有時需住院治療,3個月發作一次,也常頭痛,醫生檢查過腦部,心臟、耳鼻喉、肺部,皆無明顯症狀,醫生以氣管比較過敏結論,但每當氣喘發作........
Thumbnail
  ◎案例一:中部一位師姐為其小孩請示,以下來文照登:    孩子國小三年級起,反覆發作氣喘(咳),每次都需靠藥物治療1個月以上,現五年級,有時需住院治療,3個月發作一次,也常頭痛,醫生檢查過腦部,心臟、耳鼻喉、肺部,皆無明顯症狀,醫生以氣管比較過敏結論,但每當氣喘發作........
Thumbnail
見諸參與鄧伯宸口述,鄧湘庭於〈那個大霧的時代〉記述父親回憶,鄧伯宸因故遭受牽連,而案件核心的三人,在鄧伯宸記憶裡:「成立了成大共產黨,他們製作了五星徽章,印刷共產黨宣言——刻鋼板的——他們收集中共空飄的傳單,以及中國共產黨中央委員會有關文化大革命決議文的英文打字稿,另外還有手槍子彈十發。」
Thumbnail
見諸參與鄧伯宸口述,鄧湘庭於〈那個大霧的時代〉記述父親回憶,鄧伯宸因故遭受牽連,而案件核心的三人,在鄧伯宸記憶裡:「成立了成大共產黨,他們製作了五星徽章,印刷共產黨宣言——刻鋼板的——他們收集中共空飄的傳單,以及中國共產黨中央委員會有關文化大革命決議文的英文打字稿,另外還有手槍子彈十發。」
Thumbnail
當時間變少之後,看戲反而變得更加重要——這是在成為母親之後,我第一次誠實地面對這一件事:我沒有那麼多的晚上,可以任性地留給自己了。看戲不再只是「今天有沒有空」,而是牽動整個週末的結構,誰應該照顧孩子,我該在什麼時間回到家,隔天還有沒有精神帶小孩⋯⋯於是,我不得不學會一件以前並不擅長的事:挑選。
Thumbnail
當時間變少之後,看戲反而變得更加重要——這是在成為母親之後,我第一次誠實地面對這一件事:我沒有那麼多的晚上,可以任性地留給自己了。看戲不再只是「今天有沒有空」,而是牽動整個週末的結構,誰應該照顧孩子,我該在什麼時間回到家,隔天還有沒有精神帶小孩⋯⋯於是,我不得不學會一件以前並不擅長的事:挑選。
Thumbnail
窗外落葉蕭蕭,我在窗裡,連呼吸都費勁。   肺癌末期了。   因為遺傳、因為我一直以來的不作為,癌細胞蔓延得很快,發現的時候腦部、肝臟、骨頭……早都已全被侵蝕,一年前被強制送醫到現在,好幾次這條命都是鬼門關前搶回來的。鄭醫師每每來看我,搖頭之外總是抱以無奈的嘆息。
Thumbnail
窗外落葉蕭蕭,我在窗裡,連呼吸都費勁。   肺癌末期了。   因為遺傳、因為我一直以來的不作為,癌細胞蔓延得很快,發現的時候腦部、肝臟、骨頭……早都已全被侵蝕,一年前被強制送醫到現在,好幾次這條命都是鬼門關前搶回來的。鄭醫師每每來看我,搖頭之外總是抱以無奈的嘆息。
Thumbnail
王吉達吉言吉語: 我的岳父半個月前因為肺部感染住院,治療後很快就恢復正常,一周後就出院;這已經是近幾年來,第三次因為肺部感染住院。老人家經常、咳嗽和咳痰,醫生說,這是因為早年吸菸的問題,造成部分肺部功能受損,已經算是慢性阻塞性肺病(COPD.......
Thumbnail
王吉達吉言吉語: 我的岳父半個月前因為肺部感染住院,治療後很快就恢復正常,一周後就出院;這已經是近幾年來,第三次因為肺部感染住院。老人家經常、咳嗽和咳痰,醫生說,這是因為早年吸菸的問題,造成部分肺部功能受損,已經算是慢性阻塞性肺病(COPD.......
Thumbnail
      年近六十的大哥,穿著筆挺的襯衫,談吐客氣有禮,看起來是個嚴謹的人。來到門診的原因是,咳嗽好幾個月了,看了很多診所和醫院都沒有起色。他的咳嗽是乾咳為主,沒甚麼痰,也沒有特定時間,常常覺得喉嚨乾乾癢癢就想咳嗽,有時候喝口水就好多了,平常也沒有過敏性鼻炎或是胃食道逆流的症狀。肺功能電腦斷層都做
Thumbnail
      年近六十的大哥,穿著筆挺的襯衫,談吐客氣有禮,看起來是個嚴謹的人。來到門診的原因是,咳嗽好幾個月了,看了很多診所和醫院都沒有起色。他的咳嗽是乾咳為主,沒甚麼痰,也沒有特定時間,常常覺得喉嚨乾乾癢癢就想咳嗽,有時候喝口水就好多了,平常也沒有過敏性鼻炎或是胃食道逆流的症狀。肺功能電腦斷層都做
Thumbnail
當代名導基里爾.賽勒布倫尼科夫身兼電影、劇場與歌劇導演,其作品流動著強烈的反叛與詩意。在俄烏戰爭爆發後,他持續以創作回應專制體制的壓迫。《傳奇:帕拉贊諾夫的十段殘篇》致敬蘇聯電影大師帕拉贊諾夫。本文作者透過媒介本質的分析,解構賽勒布倫尼科夫如何利用影劇雙棲的特質,在荒謬世道中尋找藝術的「生存之道」。
Thumbnail
當代名導基里爾.賽勒布倫尼科夫身兼電影、劇場與歌劇導演,其作品流動著強烈的反叛與詩意。在俄烏戰爭爆發後,他持續以創作回應專制體制的壓迫。《傳奇:帕拉贊諾夫的十段殘篇》致敬蘇聯電影大師帕拉贊諾夫。本文作者透過媒介本質的分析,解構賽勒布倫尼科夫如何利用影劇雙棲的特質,在荒謬世道中尋找藝術的「生存之道」。
Thumbnail
春節期間的covid康復期,咳好咳滿,閃到腰
Thumbnail
春節期間的covid康復期,咳好咳滿,閃到腰
追蹤感興趣的內容從 Google News 追蹤更多 vocus 的最新精選內容追蹤 Google News