快速的在路上奔跑享受著那速度的爽感,正享受當下時,一個不注意踩到了路上的小水坑,滑了一跤,到現在我還記的那清楚的慘叫聲...。本篇的主題就是...
掌骨傷害( Metacarpal injury )
手掌構造

手掌稱地( FOOSH injury )
*FOOSH injury = Fallen Onto an OutStretched Hand
皮質骨骨折( cortical bone fracture )
簡單來說就是沒有骨折的骨折,這常見於中速到高速的挫傷撞擊,造成骨頭表面凹陷不平整
這種骨折,在X光初期可能不會非常明顯。但到中後期( 撞擊 1-2 個月後 ) 可能會看到皮質骨增生,因此如果還是持續疼痛,X光再確認是否骨折比較安全的
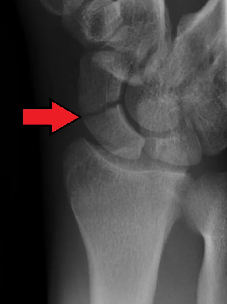
舟狀骨骨折( scaphoid fracture )
這也是手腕傷害最容易傷到的地方,而也因為是常動用到之地方,所以在癒合及復原也會比較久。久而久之會導致動力學跑掉、ROM、力量下降及腕關節退化

症狀
手腕疼痛可能一開始就疼痛或 2~3 週後才出現
位置
- 大拇指與食指的延伸線交叉處
- 手腕腹側凸起處疼痛手腕背測拇指翹起內凹洞( snuff box )疼痛

治療
舟狀骨骨折有時候難以診斷。若是初期X光未發現骨折,可以以石膏,或是護具固定兩週。之後再每兩週檢查一次至確定無骨折且改善
若疼痛遲遲無改善,可做骨骼掃描( Bone scan )或是磁核共振( MRI study )來查出隱藏的骨折
若不嚴重,可考慮
- 震波治療 : 醫學文獻證實震波治療對於未癒合的骨折有效
- 增生注射治療 : 若骨折未移位,也可使用 PRP 治療或是增生注射治療。PRP 可同時治療舟月韌帶不穩定的問題
*舟狀骨骨折常常被忽略,而且後遺症很嚴重,當手腕持續疼痛就必須注意舟狀骨是否有骨折
相關研究
舟骨骨折的總體發病率
共 415 名舟狀骨骨折患者。302 ( 73 % ) 是男性。受傷時的平均年齡為 35 歲,男性低於女性(30.8 比 46.3)
336 人 ( 81% ) 接受了石膏固定的主要治療,包括拇指的基指骨。由於移位的程度,18 名 ( 4% ) 在 24 小時內接受了手術。使用 Herbert 螺釘進行螺釘固定的切開復位作為主要手術方法。在影像學無法癒合或不癒合的情況下,還使用皮質海綿體移植物和石膏模型進行至少兩個月的骨移植
308 名患者的初次石膏固定在 281 名 ( 91% ) 患者中獲得了令人滿意的影像學癒合。27 例未癒合或不癒合。三例拒絕進一步治療。24人接受了手術,其中20 人的骨折被發現已經癒合。其餘四人中有兩人再次接受手術,其中一名痊癒。該組的最終結果是 308 例中有 302 例 ( 98% ) 癒合,而六例 ( 2% ) 有持續性骨不連
最後在 385 例中有 360 例 ( 93% ) 骨折癒合。其餘 25 名無症狀或幾乎無症狀的骨不連患者 ( 7 % ) 拒絕進一步治療。其中 19 人來自延遲初級治療組
我的看法
如果身邊或是自己發生手撐地這種情形的話,除了評估一下力道以外,地板硬度,下去角度等因素是想大概會有甚麼問題。放著等它好通常也要一定時間,最好的辦法還是盡快就醫


























